You have no items in your shopping cart.
ATF6 Antibody
Description
Research Area
Images & Validation
−| Tested Applications | ELISA, IF, IHC, IP, WB |
|---|---|
| Dilution range | WB: 1:500-1:2000; IP: 1:500-1:2000; IHC: 1:20-1:200; IF: 1:10-1:100 |
| Reactivity | Human, Mouse, Rat |
Key Properties
−| Antibody Type | Primary Antibody |
|---|---|
| Host | Rabbit |
| Clonality | Polyclonal |
| Isotype | IgG |
| Immunogen | activating transcription factor 6 |
| Target | ATF6 |
| Molecular Weight | 90 kDa |
| Purity | ≥95% as determined by SDS-PAGE |
| Purification | Immunogen affinity purified |
| Conjugation | Unconjugated |
Storage & Handling
−| Storage | Maintain refrigerated at 2-8°C for up to 2 weeks. For long term storage store at -20°C in small aliquots to prevent freeze-thaw cycles. |
|---|---|
| Form/Appearance | liquid |
| Disclaimer | For research use only |
Similar Products
−ATF6 Rabbit Polyclonal Antibody [orb10157]
FC, ICC, IF, IHC-Fr, IHC-P, WB
Bovine, Equine, Porcine, Rabbit
Human, Mouse, Rat
Rabbit
Polyclonal
Unconjugated
50 μl, 100 μl, 200 μlATF6 Antibody [orb1239223]
ELISA, ICC, IF, IHC-P, WB
Rat
Human, Mouse
Rabbit
Polyclonal
Unconjugated
0.02 mg, 0.1 mgATF6 Antibody [orb1239224]
ELISA, IHC-P, WB
Human, Mouse, Rat
Rabbit
Polyclonal
Unconjugated
0.02 mg, 0.1 mg

Quality Guarantee
Explore bioreagents carefree to elevate your research. All our products are rigorously tested for performance. If a product does not perform as described on its datasheet, our scientific support team will provide expert troubleshooting, a prompt replacement, or a refund. For full details, please see our Terms & Conditions and Buying Guide. Contact us at [email protected].

Immunofluorescent analysis of HeLa cells using orb624933 (ATF6 antibody) at dilution of 1:25 and Rhodamine-Goat anti-Rabbit IgG.

IP Result of anti-ATF6 (IP: orb624933, 4 ug; Detection: orb624933 1:1500) with HeLa cells lysate 2800 ug.

MCF-7 cells were subjected to SDS PAGE followed by western blot with orb624933 (ATF6 Antibody) at dilution of 1:3000.

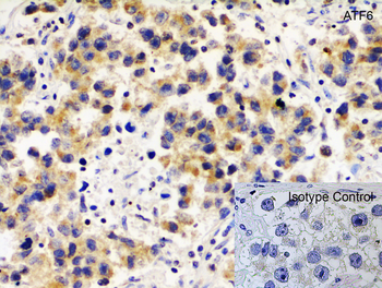
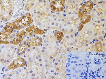
Immunohistochemistry of paraffin-embedded human cervical cancer tissue slide using orb624933 (ATF6 Antibody) at dilution of 1:50.
Quick Database Links
UniProt Details
−Documents Download
Request a Document
Protocol Information
ATF6 Antibody (orb624933)
Participating in our Biorbyt product reviews program enables you to support fellow scientists by sharing your firsthand experience with our products.
Login to Submit a Review







































