You have no items in your shopping cart.
ATM Rabbit pAb Antibody
Description
Images & Validation
−| Tested Applications | IHC |
|---|---|
| Dilution range | IHC 1:200-500 |
| Reactivity | Human, Mouse, Rat |
Key Properties
−| Clonality | Polyclonal |
|---|---|
| Isotype | IgG |
| Immunogen | Recombinant Protein |
| Molecular Weight | 350kDa |
| Conjugation | Unconjugated |
Storage & Handling
−| Storage | Maintain refrigerated at 2-8°C for up to 2 weeks. For long term storage store at -20°C in small aliquots to prevent freeze-thaw cycles. |
|---|---|
| Buffer/Preservatives | PBS with 0.02% sodium azide and 50% glycerol pH 7.4. |
| Concentration | 1mg/mL |
| Disclaimer | For research use only |
Alternative Names
−Similar Products
−ATRIP rabbit pAb Antibody [orb764608]
ELISA, IF, IHC, WB
Human, Mouse, Rat
Polyclonal
Unconjugated
50 μl, 100 μlATRIP (phospho Ser68) rabbit pAb Antibody [orb770607]
ELISA, WB
Human, Mouse, Rat
Polyclonal
Unconjugated
50 μl, 100 μlATRIP (phospho Ser224) rabbit pAb Antibody [orb770608]
ELISA, IF, IHC, WB
Human, Mouse, Rat
Polyclonal
Unconjugated
50 μl, 100 μlAtm rabbit pAb Antibody [orb769223]
ELISA, IF, IHC, WB
Human, Mouse
Polyclonal
Unconjugated
100 μl, 50 μlAtm (phospho Ser1981) rabbit pAb Antibody [orb771313]
ELISA, IF, IHC, WB
Human, Mouse, Rat
Polyclonal
Unconjugated
100 μl, 50 μl

Quality Guarantee
Explore bioreagents carefree to elevate your research. All our products are rigorously tested for performance. If a product does not perform as described on its datasheet, our scientific support team will provide expert troubleshooting, a prompt replacement, or a refund. For full details, please see our Terms & Conditions and Buying Guide. Contact us at [email protected].

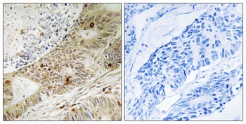
Immunohistochemical analysis of paraffin-embedded Human Colon Carcinoma Tissue using ATM (orb763835) Rabbit pAb diluted at 1:500.

Immunohistochemical analysis of paraffin-embedded Human Breast Carcinoma Tissue using ATM (orb763835) Rabbit pAb diluted at 1:500.

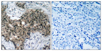
Immunohistochemical analysis of paraffin-embedded Human Prostate Carcinoma Tissue using ATM (orb763835) Rabbit pAb diluted at 1:200.
Quick Database Links
UniProt Details
−Documents Download
Request a Document
ATM Rabbit pAb Antibody (orb763835)
Participating in our Biorbyt product reviews program enables you to support fellow scientists by sharing your firsthand experience with our products.
Login to Submit a Review











