You have no items in your shopping cart.
BAZ2A antibody
Description
Images & Validation
−| Tested Applications | ICC, IF, IHC-P, WB |
|---|---|
| Dilution Range | IF/ICC: 1:50-500, IHC-P: 1:50-500, WB: 1:200-1000 |
| Reactivity | Human, Mouse, Porcine, Rat |
Key Properties
−| Host | Rabbit |
|---|---|
| Clonality | Polyclonal |
| Isotype | IgG |
| Immunogen | KLH conjugated synthetic peptide derived from human BAZ2A. Please contact us for the exact immunogen sequence. The peptide is available as orb13049. |
| Target | BAZ2A |
| Molecular Weight | 211 kDa |
| Purity | Polyclonal antibodies are purified by peptide affinity chromatography |
| Conjugation | Unconjugated |
Storage & Handling
−| Storage | Maintain refrigerated at 2-8°C for up to 2 weeks. For long term storage store at -20°C in small aliquots to prevent freeze-thaw cycles. |
|---|---|
| Form/Appearance | 10 mM PBS, 0.02% sodium azide |
| Concentration | - 100 μg (in 200 μl): 0.5 mg/ml- 200 μg (in 400 μl): 0.5 mg/ml |
| Expiration Date | 12 months from date of receipt. |
| Disclaimer | For research use only |
Similar Products
−
Quality Guarantee
Explore bioreagents carefree to elevate your research. All our products are rigorously tested for performance. If a product does not perform as described on its datasheet, our scientific support team will provide expert troubleshooting, a prompt replacement, or a refund. For full details, please see our Terms & Conditions and Buying Guide. Contact us at [email protected].

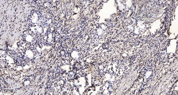
IHC-P image of rat pancreas tissue using anti- BAZ2A (dilution of primary antibody at 2.5 ug/ml)

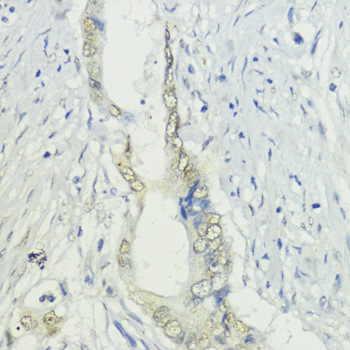
Immunohistochemical staining of paraffin embedded pig kidney tissue using BAZ2A antibody (primary antibody at 2.5 ug/ml)

IF analysis of pig spleen tissue using anti- BAZ2A (dilution of primary antibody at 2.5 ug/ml)

IHC-P image of rat testis tissue using anti- BAZ2A (dilution of primary antibody at 2.5 ug/ml)

Immunofluorescence analysis of pig spleen tissue using anti- BAZ2A (dilution of primary antibody - 2.5 ug/ml)

Western blot analysis of rat kidney (lane 1), rat lung (lane 2), mouse brain (lane 3), rat pancreas (lane 4), rat testis (lane 5), human ovarian cancer (lane 6) using BAZ2A antibody (1 ug/ml)

Immunohistochemical staining of pig kidney tissue using anti- BAZ2A (dilution of primary antibody - 2.5 ug/ml)
Documents Download
Request a Document
Protocol Information
BAZ2A antibody (orb382907)
Participating in our Biorbyt product reviews program enables you to support fellow scientists by sharing your firsthand experience with our products.
Login to Submit a Review







