You have no items in your shopping cart.
B2M Antibody
Description
Research Area
Images & Validation
−| Tested Applications | FC, IF, IHC, WB |
|---|---|
| Dilution Range | FACS: 0.5-1 μg/million cells, IF/ICC: 0.5-1 μg/ml, IHC-P: 0.5-1 μg/ml |
| Reactivity | Human, Primate |
| Application Notes |
Key Properties
−| Host | Mouse |
|---|---|
| Clonality | Monoclonal |
| Isotype | IgG2b |
| Clone No. | B2M/961 |
| Immunogen | Full length recombinant human B2M protein |
| Target | B2M |
| Source/Expression System | HEK293 cells |
| Molecular Weight | 12kDa |
| Conjugation | Unconjugated |
Storage & Handling
−| Storage | Maintain refrigerated at 2-8°C for up to 2 weeks. For long term storage store at -20°C in small aliquots to prevent freeze-thaw cycles. |
|---|---|
| Form/Appearance | 200ug/ml of Ab purified from Bioreactor Concentrate by Protein A/G. Prepared in 10mM PBS with 0.05% rAlbumin & 0.05% azide. Also available WITHOUT rAlbumin & azide at 1.0mg/ml. |
| Expiration Date | 12 months from date of receipt. |
| Disclaimer | For research use only |
Alternative Names
−Similar Products
−Beta 2 Microglobulin/B2M Rabbit Polyclonal Antibody [orb18580]
ELISA, FC, ICC, IF, IHC, WB
Human
Rabbit
Polyclonal
Unconjugated
100 μgBeta-2 Microglobulin (Renal Failure & Tumor Marker) Antibody - With BSA and Azide [orb1789733]
FC, IF, IHC
Human
Mouse
Monoclonal
Unconjugated
20 μgBeta-2 Microglobulin (Renal Failure & Tumor Marker) Antibody - With BSA and Azide [orb1462035]
FC, IF, IHC
Human
Mouse
Monoclonal
Unconjugated

Quality Guarantee
Explore bioreagents carefree to elevate your research. All our products are rigorously tested for performance. If a product does not perform as described on its datasheet, our scientific support team will provide expert troubleshooting, a prompt replacement, or a refund. For full details, please see our Terms & Conditions and Buying Guide. Contact us at [email protected].

Immunohistochemical staining of human Cervical Carcinoma tissue using B2M antibody

Immunohistochemical staining of human Melanoma tissue using B2M antibody

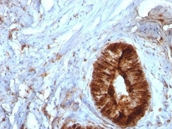
Immunohistochemical staining of human Endometrial Carcinoma tissue using B2M antibody

Immunohistochemical staining of human Renal Carcinoma tissue using B2M antibody

Immunohistochemical staining of human Cervical Carcinoma tissue using B2M antibody

Immunohistochemical staining of human Bladder carcinoma tissue using B2M antibody

Immunohistochemical staining of human Colon Carcinoma tissue using B2M antibody
Quick Database Links
UniProt Details
−Documents Download
Request a Document
Protocol Information
B2M Antibody (orb388596)
Participating in our Biorbyt product reviews program enables you to support fellow scientists by sharing your firsthand experience with our products.
Login to Submit a Review

































