You have no items in your shopping cart.
BUB1B Antibody
Description
Research Area
Images & Validation
−| Tested Applications | ELISA, IF, IHC, WB |
|---|---|
| Dilution Range | WB: 1:500-1:2000; IHC: 1:20-1:200; IF: 1:20-1:200 |
| Reactivity | Human, Mouse |
Key Properties
−| Antibody Type | Primary Antibody |
|---|---|
| Host | Rabbit |
| Clonality | Polyclonal |
| Isotype | IgG |
| Immunogen | budding uninhibited by benzimidazoles 1 homolog beta(yeast) |
| Target | BUB1B |
| Molecular Weight | 120-130 kDa |
| Purity | ≥95% as determined by SDS-PAGE |
| Purification | Immunogen affinity purified |
| Conjugation | Unconjugated |
Storage & Handling
−| Storage | Maintain refrigerated at 2-8°C for up to 2 weeks. For long term storage store at -20°C in small aliquots to prevent freeze-thaw cycles. |
|---|---|
| Form/Appearance | liquid |
| Expiration Date | 12 months from date of receipt. |
| Disclaimer | For research use only |
Similar Products
−BubR1/BUB1B Rabbit Polyclonal Antibody [orb570371]
ELISA, FC, ICC, IF, IHC, WB
Human, Mouse, Rat
Rabbit
Polyclonal
Unconjugated
100 μgBubR1/BUB1B Mouse Monoclonal Antibody [orb654276]
FC, ICC, IF, IHC, WB
Human
Mouse
Monoclonal
Unconjugated
100 μgBubR1/BUB1B Mouse Monoclonal Antibody [orb654277]
FC, IHC, WB
Human, Rat
Mouse
Monoclonal
Unconjugated
100 μgHuman Mitotic Checkpoint Serine/threonine-Protein Kinase BUB1 Beta (BUB1B) ELISA Kit [orb1736598]
Human
0.32-20 ng/mL
0.12 ng/mL
96 T, 48 T

Quality Guarantee
Explore bioreagents carefree to elevate your research. All our products are rigorously tested for performance. If a product does not perform as described on its datasheet, our scientific support team will provide expert troubleshooting, a prompt replacement, or a refund. For full details, please see our Terms & Conditions and Buying Guide. Contact us at [email protected].

mouse testis tissue were subjected to SDS PAGE followed by western blot with orb625210 (BUB1B antibody) at dilution of 1:500.

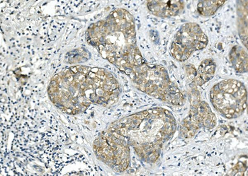
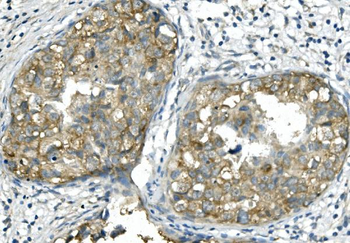
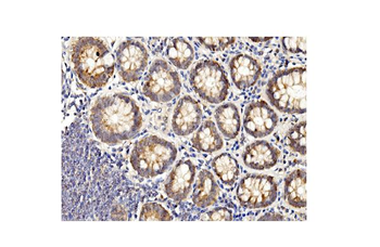
Immunohistochemistry of paraffin-embedded human colon cancer tissue slide using orb625210 (BUB1B Antibody) at dilution of 1:200.
Quick Database Links
UniProt Details
−Documents Download
Request a Document
Protocol Information
BUB1B Antibody (orb625210)
Participating in our Biorbyt product reviews program enables you to support fellow scientists by sharing your firsthand experience with our products.
Login to Submit a Review
























