You have no items in your shopping cart.
CASP7 Rabbit Polyclonal Antibody
Description
Research Area
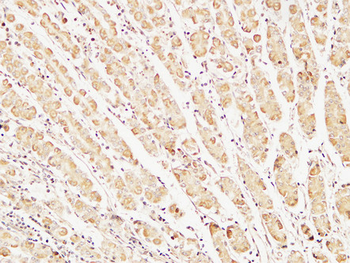
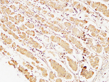
Images & Validation
−| Tested Applications | WB |
|---|---|
| Reactivity | Human |
| Predicted Reactivity | Bovine, Canine, Equine, Goat, Guinea pig, Mouse, Porcine, Rabbit, Rat, Zebrafish |
Key Properties
−| Host | Rabbit |
|---|---|
| Clonality | Polyclonal |
| Immunogen | The immunogen is a synthetic peptide directed towards the N terminal region of human CASP7 |
| Target | CASP7 |
| Protein Sequence | Synthetic peptide located within the following region: NNKNFDKVTGMGVRNGTDKDAEALFKCFRSLGFDVIVYNDCSCAKMQDLL |
| Molecular Weight | 37kDa |
| Purification | Affinity Purified |
| Conjugation | Unconjugated |
Storage & Handling
−| Storage | Maintain refrigerated at 2-8°C for up to 2 weeks. For long term storage store at -20°C in small aliquots to prevent freeze-thaw cycles. |
|---|---|
| Buffer/Preservatives | Liquid. Purified antibody supplied in 1x PBS buffer with 0.09% (w/v) sodium azide and 2% sucrose. |
| Concentration | 0.5 mg/ml |
| Expiration Date | 12 months from date of receipt. |
| Disclaimer | For research use only |
Alternative Names
−Similar Products
−Caspase-7/CASP7 Rabbit Polyclonal Antibody [orb738444]
ELISA, FC, ICC, IF, IHC, WB
Human, Rat
Rabbit
Polyclonal
Unconjugated
100 μgCaspase-7 rabbit pAb Antibody [orb764731]
ELISA, IF, IHC, WB
Human, Mouse, Rat
Polyclonal
Unconjugated
100 μl, 50 μlCaspase-7 rabbit pAb Antibody [orb763897]
ELISA, IF, IHC, WB
Human, Mouse, Rat
Polyclonal
Unconjugated
100 μlCleaved-Caspase-7 (S199) rabbit pAb Antibody [orb763881]
ELISA, IF, IHC, WB
Human, Mouse
Polyclonal
Unconjugated
100 μl, 50 μl

Quality Guarantee
Explore bioreagents carefree to elevate your research. All our products are rigorously tested for performance. If a product does not perform as described on its datasheet, our scientific support team will provide expert troubleshooting, a prompt replacement, or a refund. For full details, please see our Terms & Conditions and Buying Guide. Contact us at [email protected].

Sample: SH-SY5Y cells, 2.0x10^5 cells, Primary dilution: 1:2500, Secondary Antibody: HRP-conjugated goat anti-rabbit IgG, Secondary dilution: 1:5000.

WB Suggested Anti-CASP7 Antibody Titration: 0.2-1 ug/ml, ELISA Titer: 1:62500, Positive Control: OVCAR-3 cell lysate. CASP7 is supported by BioGPS gene expression data to be expressed in OVCAR3.
Documents Download
Request a Document
CASP7 Rabbit Polyclonal Antibody (orb584191)
Participating in our Biorbyt product reviews program enables you to support fellow scientists by sharing your firsthand experience with our products.
Login to Submit a Review



















