You have no items in your shopping cart.
CBX4 Rabbit Polyclonal Antibody
Description
Images & Validation
−| Tested Applications | ICC, WB |
|---|---|
| Dilution range | WB=1:500-2000, ICC/IF=1:100-500 |
| Reactivity | Human, Mouse, Rat |
| Predicted Reactivity | Canine, Equine, Porcine, Sheep |
Related Conjugates & Formulations
−Key Properties
−| Antibody Type | Primary Antibody |
|---|---|
| Host | Rabbit |
| Clonality | Polyclonal |
| Isotype | IgG |
| Immunogen | KLH conjugated synthetic peptide derived from human CBX4 (401-500/560aa) |
| Target | CBX4 |
| Molecular Weight | 61 kDa |
| Purification | Affinity purified by Protein A |
| Conjugation | Unconjugated |
Storage & Handling
−| Storage | Maintain refrigerated at 2-8°C for up to 2 weeks. For long term storage store at -20°C in small aliquots to prevent freeze-thaw cycles. |
|---|---|
| Form/Appearance | Liquid |
| Buffer/Preservatives | 0.01M TBS (pH7.4) with 1% rAlbumin, 0.02% Proclin300 and 50% Glycerol. |
| Concentration | 1mg/ml |
| Disclaimer | For research use only |
Alternative Names
−Similar Products
−CBX4 Rabbit Polyclonal Antibody [orb577105]
WB
Bovine, Canine, Equine, Guinea pig, Rabbit, Rat, Zebrafish
Human, Mouse
Rabbit
Polyclonal
Unconjugated
100 μlCBX4 Rabbit Polyclonal Antibody [orb573544]
IHC, WB
Bovine, Canine, Guinea pig, Mouse, Rabbit, Rat, Zebrafish
Human
Rabbit
Polyclonal
Unconjugated
100 μlCBX4 Rabbit Polyclonal Antibody [orb76924]
ELISA, IHC, WB
Mouse, Rat
Human
Rabbit
Polyclonal
Unconjugated
100 μgCBX4 Rabbit Polyclonal Antibody (PE-Cy5) [orb931019]
ICC
Canine, Equine, Porcine, Sheep
Human, Mouse, Rat
Rabbit
Polyclonal
PE/Cy5
100 μl

Quality Guarantee
Explore bioreagents carefree to elevate your research. All our products are rigorously tested for performance. If a product does not perform as described on its datasheet, our scientific support team will provide expert troubleshooting, a prompt replacement, or a refund. For full details, please see our Terms & Conditions and Buying Guide. Contact us at [email protected].

Hela cell, 4% Paraformaldehyde-fixed, Triton X-100 at room temperature for 20 min, Blocking buffer (normal goat serum) at 37°C for 20 min, Antibody incubation with (CBX4) polyclonal Antibody, Unconjugated (orb182925) 1:25, 90 minutes at 37°C, followed by a conjugated Goat Anti-Rabbit IgG antibody at 37°C for 90 minutes, DAPI (blue) was used to stain the cell nuclei.

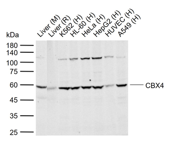
Sample: Lane 1: Mouse Liver tissue lysates, Lane 2: Rat Liver tissue lysates, Lane 3: Human K562 cell lysates, Lane 4: Human HL-60 cell lysates, Lane 5: Human HeLa cell lysates, Lane 6: Human HepG2 cell lysates, Lane 7: Human HUVEC cell lysates, Lane 8: Human A549 cell lysates, Primary: Anti-CBX4 (orb182925) at 1/1000 dilution, Secondary: IRDye800CW Goat Anti-Rabbit IgG at 1/20000 dilution, Predicted band size: 61 kDa, Observed band size: 61 kDa.
Quick Database Links
UniProt Details
−Documents Download
Request a Document
Protocol Information
CBX4 Rabbit Polyclonal Antibody (orb182925)
Participating in our Biorbyt product reviews program enables you to support fellow scientists by sharing your firsthand experience with our products.
Login to Submit a Review






