You have no items in your shopping cart.
Description
Images & Validation
−| Tested Applications | ELISA, IF, IHC, IHC-P, WB |
|---|---|
| Dilution Range | ELISA, IF (10 µg/ml), IHC, IHC-P (10 µg/ml), WB |
| Reactivity | Human |
| Application Notes |
Key Properties
−| Host | Mouse |
|---|---|
| Clonality | Monoclonal |
| Isotype | IgG2a,k |
| Clone No. | 1B12 |
| Immunogen | CCBL1 (AAH33685, aa 1-374). A full-length recombinant protein with GST tag. MW of the GST tag alone is 26 KDa. |
| Target | CCBL1 |
| Purification | Purified from ascites by Protein A |
| Conjugation | Unconjugated |
Storage & Handling
−| Storage | Maintain refrigerated at 2-8°C for up to 2 weeks. For long term storage store at -20°C in small aliquots to prevent freeze-thaw cycles. |
|---|---|
| Buffer/Preservatives | PBS, pH 7.4 |
| Concentration | 1 mg/ml |
| Expiration Date | 12 months from date of receipt. |
| Disclaimer | For research use only |
Alternative Names
−Similar Products
−Human Cysteine Conjugate Beta Lyase, Cytoplasmic (CCbL1) ELISA Kit [orb778373]
Human
78.13-5000 pg/mL
27 pg/mL
48 T, 96 TCCBL1 Rabbit Polyclonal Antibody [orb221356]
IF, IHC-Fr, IHC-P, WB
Equine, Rabbit
Human
Rabbit
Polyclonal
Unconjugated
50 μl, 100 μl, 200 μlCCBL1 Rabbit Polyclonal Antibody [orb341108]
IF, WB
Human, Mouse, Rat
Rabbit
Polyclonal
Unconjugated
100 μl, 200 μl

Quality Guarantee
Explore bioreagents carefree to elevate your research. All our products are rigorously tested for performance. If a product does not perform as described on its datasheet, our scientific support team will provide expert troubleshooting, a prompt replacement, or a refund. For full details, please see our Terms & Conditions and Buying Guide. Contact us at [email protected].

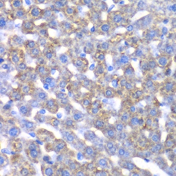
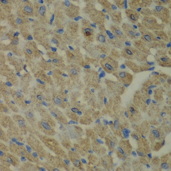
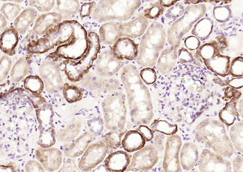
Human Kidney: Formalin-Fixed, Paraffin-Embedded (FFPE)

Immunofluorescence of monoclonal antibody to CCBL1 on HeLa cell. [antibody concentration 10 ug/ml]

Western Blot analysis of CCBL1 expression in transfected 293T cell line by CCBL1 monoclonal antibody (M02), clone 1B12.Lane 1: CCBL1 transfected lysate (27.4 KDa).Lane 2: Non-transfected lysate.

Detection limit for recombinant GST tagged CCBL1 is 3 ng/ml as a capture antibody.
Quick Database Links
Documents Download
Request a Document
Protocol Information
CCBL1 Antibody (orb1535419)
Participating in our Biorbyt product reviews program enables you to support fellow scientists by sharing your firsthand experience with our products.
Login to Submit a Review









