You have no items in your shopping cart.
CD105 Antibody
Description
Images & Validation
−| Tested Applications | FC, ICC, IHC |
|---|---|
| Dilution range | IHC: 1/200 - 1/1000; ICC: 1/200 - 1/1000; FCM: 1/200 - 1/400; ELISA: 1/10000 |
| Reactivity | Human |
Key Properties
−| Antibody Type | Primary Antibody |
|---|---|
| Host | Mouse |
| Clonality | Monoclonal |
| Isotype | Mouse IgG1 |
| Clone No. | 3A9H4 |
| Immunogen | Purified recombinant fragment of human CD105 expressed in E. Coli. |
| Target | CD105 |
| Molecular Weight | 71kDa |
| Conjugation | Unconjugated |
Storage & Handling
−| Storage | Maintain refrigerated at 2-8°C for up to 2 weeks. For long term storage store at -20°C in small aliquots to prevent freeze-thaw cycles. |
|---|---|
| Buffer/Preservatives | Purified antibody in PBS with 0.05% sodium azide. |
| Concentration | Approximately 1mg/ml (varies from batch to batch). Please inquire for precise concentration. |
| Disclaimer | For research use only |
Alternative Names
−Similar Products
−CD105 Recombinant Rabbit Monoclonal Antibody [orb2563053]
IF, IHC-Fr, IHC-P
Human
Rabbit
Recombinant
Unconjugated
25 μl, 50 μl, 100 μlCD105 Rabbit Polyclonal Antibody [orb312175]
IF, IHC-Fr, IHC-P
Bovine, Canine, Equine, Gallus, Mouse, Porcine
Mouse
Rabbit
Polyclonal
Unconjugated
200 μl, 50 μl, 100 μl

Quality Guarantee
Explore bioreagents carefree to elevate your research. All our products are rigorously tested for performance. If a product does not perform as described on its datasheet, our scientific support team will provide expert troubleshooting, a prompt replacement, or a refund. For full details, please see our Terms & Conditions and Buying Guide. Contact us at [email protected].

Flow cytometric analysis of HepG2 cells using CD105 antibody

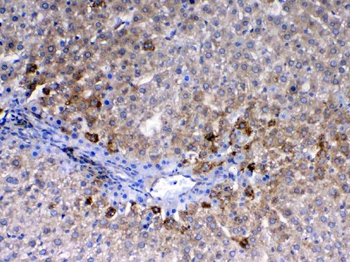
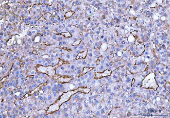
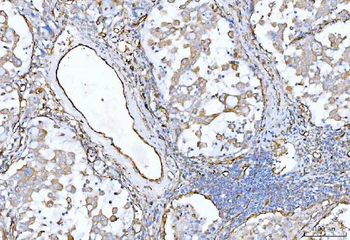
Immunohistochemical analysis of paraffin-embedded kidney cancer tissues (left) and stomach cancer tissues (right) using CD105 antibody

Western blot analysis of HEK293 (Lane1) and CD105(AA: 331-


Documents Download
Request a Document
Protocol Information
CD105 Antibody (orb69435)
Participating in our Biorbyt product reviews program enables you to support fellow scientists by sharing your firsthand experience with our products.
Login to Submit a Review






























