You have no items in your shopping cart.
ITGAX Antibody
Description
Research Area
Images & Validation
−| Tested Applications | ELISA |
|---|---|
| Dilution Range | FACS: 0.5-1 μg/million cells, IF/ICC: 0.5-1 μg/ml, IHC-P: 1-2 μg/ml |
| Reactivity | Human |
| Application Notes |
Key Properties
−| Host | Mouse |
|---|---|
| Clonality | Monoclonal |
| Isotype | IgG2b |
| Clone No. | ITGAX/1243 |
| Immunogen | Recombinant fragment (aa 637-827) of human ITGAX protein (exact sequence is proprietary) |
| Target | ITGAX |
| Source/Expression System | Bioreactor |
| Molecular Weight | 145kDa |
| Purification | Protein A |
| Conjugation | Unconjugated |
Storage & Handling
−| Storage | Maintain refrigerated at 2-8°C for up to 2 weeks. For long term storage store at -20°C in small aliquots to prevent freeze-thaw cycles. |
|---|---|
| Form/Appearance | 200ug/ml of Ab Purified from Bioreactor Concentrate by Protein A/G. Prepared in 10mM PBS with 0.05% rAlbumin & 0.05% azide. Also available WITHOUT rAlbumin & azide at 1.0mg/ml. |
| Expiration Date | 12 months from date of receipt. |
| Disclaimer | For research use only |
Alternative Names
−Similar Products
−CD11c Rabbit Polyclonal Antibody [orb500942]
FC, WB
Rat
Human, Mouse
Rabbit
Polyclonal
Unconjugated
50 μl, 100 μl, 200 μlCD11c Rabbit Polyclonal Antibody [orb500955]
FC
Canine, Mouse, Rat
Human
Rabbit
Polyclonal
Unconjugated
50 μl, 100 μl, 200 μlITGAX Antibody (C-term) [orb1929673]
FC, IF, IHC-P, WB
Human, Mouse, Rat
Rabbit
Polyclonal
Unconjugated
100 μl, 50 μlCD11c/Itgax Rabbit Polyclonal Antibody [orb865421]
ELISA, IHC, WB
Mouse, Rat
Rabbit
Polyclonal
Unconjugated
100 μg

Quality Guarantee
Explore bioreagents carefree to elevate your research. All our products are rigorously tested for performance. If a product does not perform as described on its datasheet, our scientific support team will provide expert troubleshooting, a prompt replacement, or a refund. For full details, please see our Terms & Conditions and Buying Guide. Contact us at [email protected].

Immunohistochemical staining of human Prostate Carcinoma tissue using CD11c antibody

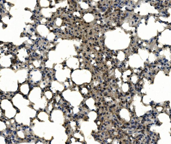
Immunohistochemical staining of human Lung Carcinoma tissue using CD11c antibody

Immunohistochemical staining of human Follicular Lymphoma tissue using CD11c antibody
Quick Database Links
UniProt Details
−Documents Download
Request a Document
ITGAX Antibody (orb389136)
Participating in our Biorbyt product reviews program enables you to support fellow scientists by sharing your firsthand experience with our products.
Login to Submit a Review

















