You have no items in your shopping cart.
CD2 Antibody
Description
Images & Validation
−| Tested Applications | FC, IHC, WB |
|---|---|
| Dilution range | WB: 1/500 - 1/2000; IHC: 1/200 - 1/1000; FCM: 1/200 - 1/400; ELISA: 1/10000 |
| Reactivity | Mouse |
Key Properties
−| Antibody Type | Primary Antibody |
|---|---|
| Host | Mouse |
| Clonality | Monoclonal |
| Isotype | Mouse IgG1 |
| Clone No. | 3D1E3 |
| Immunogen | Purified recombinant fragment of human CD2 (AA: 25-140) expressed in E. Coli. |
| Target | CD2 |
| Molecular Weight | 39.4kDa |
Storage & Handling
−| Storage | Maintain refrigerated at 2-8°C for up to 2 weeks. For long term storage store at -20°C in small aliquots to prevent freeze-thaw cycles. |
|---|---|
| Buffer/Preservatives | Purified antibody in PBS with 0.05% sodium azide |
| Concentration | Approximately 1mg/ml (varies from batch to batch). Please inquire for precise concentration. |
| Disclaimer | For research use only |
Alternative Names
−Similar Products
−CD2AP Antibody (monoclonal, 5F8) [orb507557]
FC, ICC, IF, IHC, WB
Human, Mouse, Rat
Mouse
Monoclonal
Unconjugated
100 μgAtaxin 1 Antibody (monoclonal, 2B13G8) [orb1152387]
FC, IHC, WB
Human, Mouse, Rat
Mouse
Monoclonal
Unconjugated
100 μgINPPL1 Antibody (monoclonal, 8C13) [orb738487]
FC, ICC, IF, IHC, WB
Human, Mouse, Rat
Mouse
Monoclonal
Unconjugated
100 μgCD2AP Antibody [orb402259]
ELISA, FC, ICC, IF, IHC, WB
Human, Mouse, Rat
Rabbit
Polyclonal
Unconjugated
100 μg

Quality Guarantee
Explore bioreagents carefree to elevate your research. All our products are rigorously tested for performance. If a product does not perform as described on its datasheet, our scientific support team will provide expert troubleshooting, a prompt replacement, or a refund. For full details, please see our Terms & Conditions and Buying Guide. Contact us at [email protected].

Line graph illustrates about the Ag-Ab reactions using different concentrations of antigen and serial dilutions of CD2 antibody

Flow cytometric analysis of HepG2 cells using CD2 antibody

Flow cytometric analysis of Hela cells using CD2 antibody

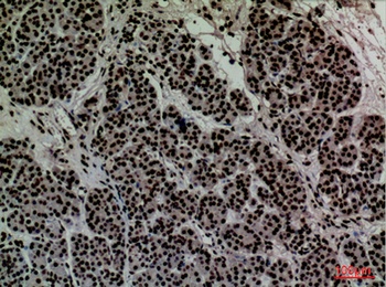
Immunohistochemical staining of human endometrial cancer tissue using CD2 antibody

Immunohistochemical staining of human rectum cancer tissue using CD2 antibody

Western blot analysis of MOLT4 (Lane 1), MCF-7 (Lane 2), L1210 (Lane 3), U937 (Lane 4), and NIH3T3 (Lane 5) cell lysate using CD2 antibody

Western blot analysis of HEK293 cell lysate using CD2 antibody

Western blot analysis of recombinant protein using CD2 antibody
Documents Download
Request a Document
Protocol Information
CD2 Antibody (orb379613)
Participating in our Biorbyt product reviews program enables you to support fellow scientists by sharing your firsthand experience with our products.
Login to Submit a Review












































