You have no items in your shopping cart.
CD206 antibody
Description
Images & Validation
−| Tested Applications | ELISA, ICC, IF, IHC-P, WB |
|---|---|
| Dilution range | WB: 1:500-1000, IHC-P: 1:100-500, IF/ICC: 1:400 |
Key Properties
−| Host | Rabbit |
|---|---|
| Clonality | Polyclonal |
| Isotype | IgG |
| Immunogen | KLH conjugated synthetic peptide derived from human CD206. Please contact us for the exact immunogen sequence. The peptide is available as orb374778. |
| Target | CD206 |
| Molecular Weight | 166 kDa |
| Purity | Polyclonal antibodies are purified by peptide affinity chromatography |
| Conjugation | Unconjugated |
Storage & Handling
−| Storage | Maintain refrigerated at 2-8°C for up to 2 weeks. For long term storage store at -20°C in small aliquots to prevent freeze-thaw cycles. |
|---|---|
| Form/Appearance | 10 mM PBS, 0.02% sodium azide |
| Concentration | - 100 μg (in 200 μl): 0.5 mg/ml- 200 μg (in 400 μl): 0.5 mg/ml |
| Disclaimer | For research use only |
Alternative Names
−Similar Products
−CD206 antibody [orb180464]
ELISA, IHC-P
Human, Mouse, Porcine, Rat
Rabbit
Polyclonal
Unconjugated
100 μgMannose Receptor/MRC1 Antibody [orb623873]
ELISA, IF, IHC, WB
Human, Monkey, Mouse, Rat
Rabbit
Polyclonal
Unconjugated
100 μgCD206 Recombinant Rabbit Monoclonal Antibody [orb1610274]
ICC, IF, IHC-Fr, IHC-P
Human
Rabbit
Recombinant
Unconjugated
25 μl, 100 μl, 50 μlCD206/Mannose Receptor/MRC1 Antibody [orb1294265]
IF, IHC, WB
Human, Mouse, Rat
Rabbit
Polyclonal
Unconjugated
25 μl, 100 μl

Quality Guarantee
Explore bioreagents carefree to elevate your research. All our products are rigorously tested for performance. If a product does not perform as described on its datasheet, our scientific support team will provide expert troubleshooting, a prompt replacement, or a refund. For full details, please see our Terms & Conditions and Buying Guide. Contact us at [email protected].

Wb analysis of rat lymph node (lane 1), rat stomach (lane 2), rat lung (lane 3), rat spleen (lane 4), rat kidney (lane 5), rat ovary (lane 6) using CD206 antibody (1 ug/ml)

Immunohistochemical analysis of paraffin-embedded rat brain tissue using CD206 antibody. (Dilution of primary antibody 1:200)

Immunohistochemical staining of mouse lymph node tissue using CD206 antibody (2.5 ug/ml)

IHC-P of pig kidney tissue using CD206 antibody (Dilution of primary antibody 1:200)

IHC-P of pig heart tissue using CD206 antibody (Primary antibody at 1:200)

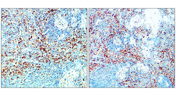
Immunohistochemical analysis of formalin-fixed and paraffin embedded pig kidney tissue using CD206 antibody

IHC-P analysis of rat kidney tissue using CD206 antibody (Primary antibody diluted to 1:100)

IHC-P analysis of rat skin tissue using CD206 antibody (Primary antibody at 1:100)

IF analysis of rat skin tissue using CD206 antibody. (Dilution at:1:400)

Immunofluorescent image of rat brain tissue using CD206 antibody (Dilution at:1:200)

IHC-P analysis of rat skin tissue using CD206 antibody (Primary antibody diluted to 1:100)

Immunofluorescence analysis of rat kidney tissue using anti-CD206 (dilution of primary antibody - 1:100)

Immunohistochemical analysis of paraffin-embedded rat skin tissue using CD206 antibody. (Dilution of primary antibody 1:200)

IHC-P analysis of rat kidney tissue using CD206 antibody (Primary antibody diluted to 1:100)

IF analysis of rat brain tissue using CD206 antibody. (Dilution at:1:100)

Immunofluorescent analysis of rat kidney tissue using CD206 antibody. (Dilution at:1:200)

IHC-P image of rat colon tissue using anti-CD206 (5 ug/ml)

Western blot analysis of rat brain (Lane1), rat kidney (Lane2) and mouse brain tissue (Lane3) using CD206 antibody (Dilution at 1:500)
Quick Database Links
Documents Download
Request a Document
Protocol Information
Filter by Applications
Filter by Species
Jana, Soumen et al. Trilayered tissue construct mimicking the orientations of three layers of a native heart valve leaflet Cell Tissue Res., (2020)
Applications
Reactivity
Heindryckx, Femke et al. Inhibition of the placental growth factor decreases burden of cholangiocarcinoma and hepatocellular carcinoma in a transgenic mouse model Eur J Gastroenterol Hepatol, 24, 1020-1032 (2012)
Applications
Reactivity
Jana, Soumen et al. In vivo tissue engineering of a trilayered leaflet-shaped tissue construct Regen Med, 15, 1177-1192 (2020)
Applications
Reactivity
Meng-Qing Wang 1, Bin Wang 2, Xu Yang 1, Qi-Chun Zhang 3, Xu-Yang Wang 4, Yin-Feng Dong ClC-3-depedent polarization of microglia protects against cerebral ischemic injury in mice Int Immunopharmacol, (2025)
Applications
Reactivity
Wei Liang 1, Huiting Wu 1, Lindan Tan 2, Xiaoyu Meng 1, Wanwen Dang 1, Meng Han 1, Yonghuan Zhen 1, Haifeng Chen 2, Hongsen Bi 1, Yang An 1 Porcine pericardial decellularized matrix bilayer patch containing adipose stem cell-derived exosomes for the treatment of diabetic wounds Mater Today Bio, (2025)
Applications
Reactivity
Xiaoyuan Huang 1, Yanhua Lan 1, Jiahui Shen 1, Xiaomin Zhao 2, Yanyan Zhou 1, Wenzhi Wu 1, Jiajie Mao 1, Yuzhu Wu 1, Zhijian Xie 3, Zhuo Chen 4 M2 macrophages secrete glutamate-containing extracellular vesicles to alleviate osteoporosis by reshaping osteoclast precursor fate Mol Ther ., (2024)
Applications
Reactivity
Yao Wang 1, Zongliang Xiong 1, Yuncong Qiao 2, Qiyuan Zhang 1, Guanghu Zhou 1, Chong Zhou 1, Xianglin Ma 1, Xiaowen Jiang 1, Wenhui Yu 1 3 4 Acetyl-11-keto-beta-boswellic acid modulates macrophage polarization and Schwann cell migration to accelerate spinal cord injury repair in rats CNS Neurosci Ther ., (2024)
Andrew R D Reeves 1, Kara L Spiller 2, Donald O Freytes 3, Gordana Vunjak-Novakovic 4, David L Kaplan 5 Controlled release of cytokines using silk-biomaterials for macrophage polarization Biomaterials ., (2015)
Applications
Reactivity
CD206 antibody (orb4941)
Participating in our Biorbyt product reviews program enables you to support fellow scientists by sharing your firsthand experience with our products.
Login to Submit a ReviewFilter by Rating
- 5 stars
- 4 stars
- 3 stars
- 2 stars
- 1 stars
Filter by Applications
Filter by Species
"High-quality product with clear and reproducible results." Review date: 23 Jun 2020 https://www.selectscience.net/products/cd206-antibody/?prodID=210699
"Very easy to use and unbeatable price for the quality of the product." Review date: 23 Oct 2019 https://www.selectscience.net/products/cd206-antibody/?prodID=210699
"The antibodies worked really well and have great reproducibility. Great value for the cost." Review date: 27 Jun 2019 https://www.selectscience.net/products/cd206-antibody/?prodID=210699
The antibody works well on sheep liver tissue, although background is found even using avidin-biotin blocking. Apart from this, the antibody label specifically macrophages. Performs well without variability.




























