You have no items in your shopping cart.
CD31 Monoclonal Antibody
Description
Images & Validation
−| Tested Applications | ELISA, FC, IF, IHC, WB |
|---|---|
| Dilution range | WB:1:500-1:5000, IHC-P:1:50-1:500, IF:1:50-1:200 |
| Reactivity | Human |
Key Properties
−| Host | Mouse |
|---|---|
| Clonality | Monoclonal |
| Isotype | IgG2a |
| Clone No. | 9E6E12 |
| Immunogen | Recombinant Human CD31 protein (28-315AA) |
| Target | CD31 |
| Purification | >95%, Protein G purified |
| Conjugation | Unconjugated |
Storage & Handling
−| Storage | Maintain refrigerated at 2-8°C for up to 2 weeks. For long term storage store at -20°C in small aliquots to prevent freeze-thaw cycles. |
|---|---|
| Form/Appearance | Liquid |
| Buffer/Preservatives | Preservative: 0.03% Proclin 300. Constituents: 50% Glycerol |
| Disclaimer | For research use only |
Alternative Names
−Similar Products
−CD31 Mouse Monoclonal Antibody [orb500839]
FC, ICC, IF, IHC-Fr, IHC-P, WB
Human
Mouse
Monoclonal
Unconjugated
200 μl, 50 μl, 100 μl, 200 μgFABP4 Antibody (monoclonal, 10E12) [orb865585]
IHC, WB
Human, Mouse, Rat
Mouse
Monoclonal
Unconjugated
100 μgCD31 (ready to use) Mouse Monoclonal Antibody [orb544695]
ICC, IF, IHC-Fr, IHC-P
Human
Mouse
Monoclonal
Unconjugated
3 ml, 6 mlNFIB/NF1B2 Antibody (monoclonal, 4D6E4) [orb865674]
FC, ICC, IF, WB
Human, Mouse, Rat
Mouse
Monoclonal
Unconjugated
100 μgCD31/PECAM1 Antibody (monoclonal, 2D4) [orb654278]
IHC, IHC-Fr, WB
Human
Mouse
Monoclonal
Unconjugated
100 μg

Quality Guarantee
Explore bioreagents carefree to elevate your research. All our products are rigorously tested for performance. If a product does not perform as described on its datasheet, our scientific support team will provide expert troubleshooting, a prompt replacement, or a refund. For full details, please see our Terms & Conditions and Buying Guide. Contact us at [email protected].

Flow cytometric analysis of HL-60 cells using CD31 antibody

Western blot analysis of Human Brain Tissue using CD31 antibody

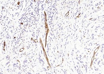
Immunohistochemical staining of human tonsil tissue using CD31 antibody

Immunohistochemical staining of human lung cancer using CD31 antibody

Immunohistochemical staining of human spleen tissue using CD31 antibody

Immunohistochemical staining of human breast cancer using CD31 antibody

Immunohistochemical staining of humankidney tissue using CD31 antibody

Immunofluorescence analysis of Hela cells using CD31 antibody

Immunofluorescence analysis of THP-1 cells using CD31 antibody

Flow cytometric analysis of THP-1 cells using CD31 antibody
Quick Database Links
UniProt Details
−Documents Download
Request a Document
Protocol Information
CD31 Monoclonal Antibody (orb688857)
Participating in our Biorbyt product reviews program enables you to support fellow scientists by sharing your firsthand experience with our products.
Login to Submit a Review




































