You have no items in your shopping cart.
CD44 Antibody / HCAM
Description
Images & Validation
−| Tested Applications | IHC-P |
|---|---|
| Dilution range | Immunohistochemistry (FFPE): 1-2ug/ml |
| Reactivity | Human |
| Application Notes |
Key Properties
−| Antibody Type | Primary Antibody |
|---|---|
| Host | Mouse |
| Clonality | Recombinant |
| Isotype | Mouse IgG2a, kappa |
| Clone No. | rHCAM/6449 |
| Immunogen | Recombinant full-length human CD44 protein was used as the immunogen for the CD44 antibody. |
| Conjugation | Unconjugated |
Storage & Handling
−| Storage | Maintain refrigerated at 2-8°C for up to 2 weeks. For long term storage store at -20°C in small aliquots to prevent freeze-thaw cycles. |
|---|---|
| Disclaimer | For research use only |
Similar Products
−
Quality Guarantee
Explore bioreagents carefree to elevate your research. All our products are rigorously tested for performance. If a product does not perform as described on its datasheet, our scientific support team will provide expert troubleshooting, a prompt replacement, or a refund. For full details, please see our Terms & Conditions and Buying Guide. Contact us at [email protected].

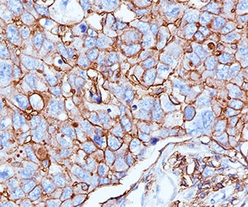
IHC staining of FFPE human esophagus tissue with CD44 antibody (clone rHCAM/6449). HIER: boil tissue sections in pH9 10mM Tris with 1mM EDTA for 20 min and allow to cool before testing.

IHC staining of FFPE human breast tissue with CD44 antibody (clone rHCAM/6449). HIER: boil tissue sections in pH9 10mM Tris with 1mM EDTA for 20 min and allow to cool before testing.

Negative control: IHC staining of FFPE human brain tissue using CD44 antibody (clone rHCAM/6449) at 2 ug/ml in PBS for 30 min RT. HIER: boil tissue sections in pH9 10mM Tris with 1mM EDTA for 20 min and allow to cool before testing.
Quick Database Links
UniProt Details
−Documents Download
Request a Document
CD44 Antibody / HCAM (orb1151854)
Participating in our Biorbyt product reviews program enables you to support fellow scientists by sharing your firsthand experience with our products.
Login to Submit a Review



















