You have no items in your shopping cart.
Description
Research Area
Images & Validation
−| Tested Applications | IHC-P, WB |
|---|---|
| Dilution Range | Western blot: 1-2ug/ml,Immunohistochemistry (FFPE): 1-2ug/ml for 30 min at RT |
| Reactivity | Human |
| Application Notes |
Key Properties
−| Antibody Type | Primary Antibody |
|---|---|
| Host | Mouse |
| Clonality | Recombinant |
| Isotype | Mouse IgG1, kappa |
| Clone No. | rIGA/6986 |
| Immunogen | A recombinant partial protein sequence (within amino acids 1-100) from the human protein was used as the immunogen for the CD79a antibody. |
| Purification | Protein A/G affinity |
| Conjugation | Unconjugated |
Storage & Handling
−| Storage | Maintain refrigerated at 2-8°C for up to 2 weeks. For long term storage store at -20°C in small aliquots to prevent freeze-thaw cycles. |
|---|---|
| Buffer/Preservatives | 1 mg/ml in 1X PBS; rAlbumin free, sodium azide free |
| Expiration Date | 12 months from date of receipt. |
| Disclaimer | For research use only |
Similar Products
−Cd79a Rabbit Polyclonal Antibody [orb654317]
ELISA, FC, IF, IHC, WB
Mouse, Rat
Rabbit
Polyclonal
Unconjugated
100 μgCD79a Rabbit Polyclonal Antibody [orb215922]
FC, IF, IHC, WB
Human
Rabbit
Polyclonal
Unconjugated
100 μgRecombinant CD79a Antibody / Rabbit Monoclonal [orb750092]
FACS, IF, IHC-P, WB
Human, Mouse, Rat
Rabbit
Recombinant
Unconjugated
20 μg, 100 μg

Quality Guarantee
Explore bioreagents carefree to elevate your research. All our products are rigorously tested for performance. If a product does not perform as described on its datasheet, our scientific support team will provide expert troubleshooting, a prompt replacement, or a refund. For full details, please see our Terms & Conditions and Buying Guide. Contact us at [email protected].

Western blot testing of human Daudi cell lysate with CD79a antibody (clone rIGA/6986). Expected molecular weight: 25-47 kDa depending on glycosylation level.

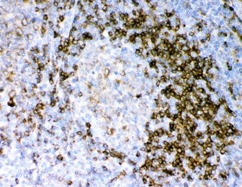
IHC staining of FFPE human tonsil tissue with CD79a antibody (clone rIGA/6986). Inset: PBS used in place of primary Ab (secondary Ab negative control). HIER: boil tissue sections in pH9 10 mM Tris with 1 mM EDTA for 20 min and allow to cool before testing.

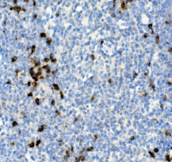
IHC staining of FFPE human tonsil tissue with CD79a antibody (clone rIGA/6986). HIER: boil tissue sections in pH9 10 mM Tris with 1 mM EDTA for 20 min and allow to cool before testing.

SDS-PAGE analysis of purified, BSA-free CD79a antibody (clone rIGA/6986) as confirmation of integrity and purity.
Quick Database Links
UniProt Details
−Documents Download
Request a Document
Protocol Information
CD79a Antibody (orb1824692)
Participating in our Biorbyt product reviews program enables you to support fellow scientists by sharing your firsthand experience with our products.
Login to Submit a Review





























