You have no items in your shopping cart.
CDK7 Rabbit Polyclonal Antibody
Description
Research Area
Images & Validation
−| Tested Applications | IHC-P, WB |
|---|---|
| Reactivity | Human |
| Predicted Reactivity | Bovine, Canine, Equine, Guinea pig, Mouse, Porcine, Rat |
Key Properties
−| Host | Rabbit |
|---|---|
| Clonality | Polyclonal |
| Immunogen | The immunogen is a synthetic peptide directed towards the C terminal region of human CDK7 |
| Target | CDK7 |
| Protein Sequence | Synthetic peptide located within the following region: NRPGPTPGCQLPRPNCPVETLKEQSNPALAIKRKRTEALEQGGLPKKLIF |
| Molecular Weight | 39kDa |
| Purification | Affinity Purified |
| Conjugation | Unconjugated |
Storage & Handling
−| Storage | Maintain refrigerated at 2-8°C for up to 2 weeks. For long term storage store at -20°C in small aliquots to prevent freeze-thaw cycles. |
|---|---|
| Buffer/Preservatives | Liquid. Purified antibody supplied in 1x PBS buffer with 0.09% (w/v) sodium azide and 2% sucrose. |
| Concentration | 0.5 mg/ml |
| Expiration Date | 12 months from date of receipt. |
| Disclaimer | For research use only |
Alternative Names
−Similar Products
−CDK7 Rabbit Polyclonal Antibody [orb10361]
ICC, IF, IHC-Fr, IHC-P, WB
Bovine
Human, Mouse, Rat
Rabbit
Polyclonal
Unconjugated
50 μl, 200 μl, 100 μlMNAT1 Rabbit Polyclonal Antibody [orb312140]
FC, ICC, IF, IHC, WB
Human, Mouse, Rat
Rabbit
Polyclonal
Unconjugated
100 μgMat1 rabbit pAb Antibody [orb765625]
ELISA, IF, IHC, WB
Human, Mouse, Rat
Polyclonal
Unconjugated
100 μl, 50 μlCdk7 rabbit pAb Antibody [orb764818]
ELISA, IF, IHC, WB
Human, Mouse
Polyclonal
Unconjugated
100 μl, 50 μlPhospho-CDK7 (Thr170) Rabbit Polyclonal Antibody [orb312194]
ICC, IF, IHC-Fr, IHC-P, WB
Canine, Equine, Mouse, Porcine, Rabbit, Rat
Human
Rabbit
Polyclonal
Unconjugated
50 μl, 100 μl, 200 μl

Quality Guarantee
Explore bioreagents carefree to elevate your research. All our products are rigorously tested for performance. If a product does not perform as described on its datasheet, our scientific support team will provide expert troubleshooting, a prompt replacement, or a refund. For full details, please see our Terms & Conditions and Buying Guide. Contact us at [email protected].

CDK7 was immunoprecipitated from 2 mg HEK293 Whole Cell Lysate with orb592691 with 1:200 dilution. Western blot was performed using orb592691 at 1/1000 dilution, Lane 1: Control IP in HEK293 Whole Cell Lysate, Lane 2: CDK7 IP with orb592691 in HEK293 Whole Cell Lysate, Lane 3: Input of HEK293 Whole Cell Lysate.

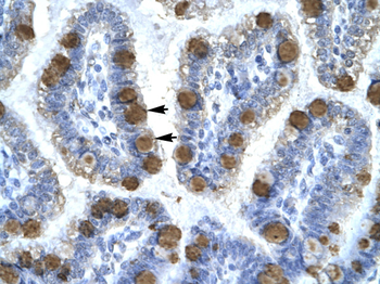
Human Intestine
Documents Download
Request a Document
Protocol Information
CDK7 Rabbit Polyclonal Antibody (orb592691)
Participating in our Biorbyt product reviews program enables you to support fellow scientists by sharing your firsthand experience with our products.
Login to Submit a Review

























