You have no items in your shopping cart.
CHRNA7 Antibody
Description
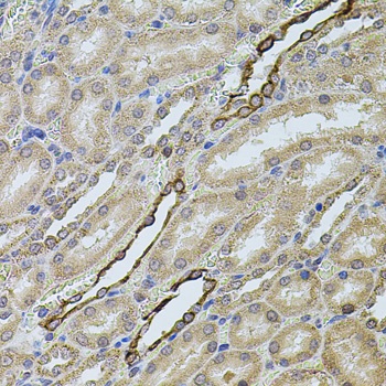
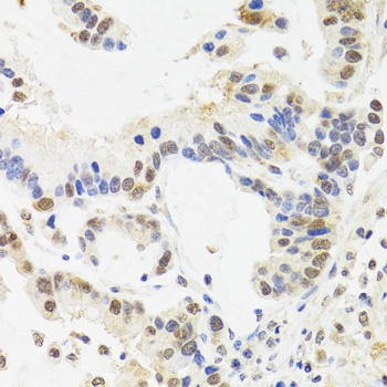
Images & Validation
−| Tested Applications | IHC-P |
|---|---|
| Dilution Range | IHC-P (20 µg/ml) |
Key Properties
−| Host | Rabbit |
|---|---|
| Clonality | Polyclonal |
| Immunogen | LP-11289, synthetic peptide |
| Target | CHRNA7 |
| Purification | Immunoaffinity purified |
| Conjugation | Unconjugated |
Storage & Handling
−| Storage | Maintain refrigerated at 2-8°C for up to 2 weeks. For long term storage store at -20°C in small aliquots to prevent freeze-thaw cycles. |
|---|---|
| Buffer/Preservatives | PBS, 0.1% Sodium Azide |
| Concentration | 1 mg/ml |
| Expiration Date | 12 months from date of receipt. |
| Disclaimer | For research use only |
Alternative Names
−Similar Products
−CHRNA7 Rabbit Polyclonal Antibody [orb11096]
ELISA, ICC, IF, IHC-P, WB
Gallus, Human, Mouse, Rat
Rabbit
Polyclonal
Unconjugated
100 μgCHRNA7 Rabbit Polyclonal Antibody [orb312180]
IF, IHC-Fr, IHC-P, WB
Gallus
Human, Mouse, Rat
Rabbit
Polyclonal
Unconjugated
100 μl, 50 μl, 200 μlCHRNA7 Rabbit Polyclonal Antibody [orb592778]
WB
Bovine, Mouse
Human, Rat
Rabbit
Polyclonal
Unconjugated
100 μlHuman Cholinergic Receptor, Nicotinic, Alpha 7 (CHRNa7) ELISA Kit [orb778151]
Human
0.32-20 ng/mL
0.122 ng/mL
96 T, 48 T

Quality Guarantee
Explore bioreagents carefree to elevate your research. All our products are rigorously tested for performance. If a product does not perform as described on its datasheet, our scientific support team will provide expert troubleshooting, a prompt replacement, or a refund. For full details, please see our Terms & Conditions and Buying Guide. Contact us at [email protected].

Human Adrenal: Formalin-Fixed, Paraffin-Embedded (FFPE)
Quick Database Links
Documents Download
Request a Document
CHRNA7 Antibody (orb1533191)
Participating in our Biorbyt product reviews program enables you to support fellow scientists by sharing your firsthand experience with our products.
Login to Submit a Review






















