You have no items in your shopping cart.
CNOT7 Antibody
Description
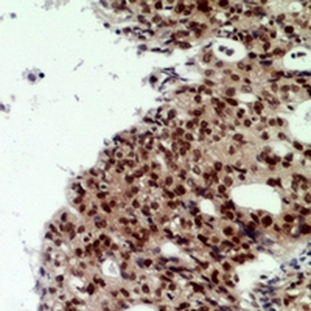
Images & Validation
−| Tested Applications | ELISA, IP, WB |
|---|---|
| Dilution range | WB: 1:500-1:2000; IP: 1:200-1:2000 |
| Reactivity | Human, Mouse, Rat |
Key Properties
−| Antibody Type | Primary Antibody |
|---|---|
| Host | Rabbit |
| Clonality | Polyclonal |
| Isotype | IgG |
| Immunogen | CCR4-NOT transcription complex, subunit 7 |
| Target | CNOT7 |
| Molecular Weight | 33-35 kDa |
| Purity | ≥95% as determined by SDS-PAGE |
| Purification | Immunogen affinity purified |
| Conjugation | Unconjugated |
Storage & Handling
−| Storage | Maintain refrigerated at 2-8°C for up to 2 weeks. For long term storage store at -20°C in small aliquots to prevent freeze-thaw cycles. |
|---|---|
| Form/Appearance | liquid |
| Disclaimer | For research use only |
Alternative Names
−Similar Products
−CNOT7 rabbit pAb Antibody [orb764889]
ELISA, IF, IHC, WB
Human, Mouse
Polyclonal
Unconjugated
100 μl, 50 μlCAF-1 Antibody (N-term) [orb1938440]
IF, IHC-P, WB
Mouse, Other, Zebrafish
Human
Rabbit
Polyclonal
Unconjugated
400 μlCNOT7 Rabbit Polyclonal Antibody [orb576939]
IHC, WB
Bovine, Canine, Equine, Goat, Guinea pig, Mouse, Rabbit, Rat, Yeast, Zebrafish
Human
Rabbit
Polyclonal
Unconjugated
100 μlCNOT7 Antibody [orb382535]
IHC, WB
Bovine, Gallus, Human, Monkey, Mouse, Rat
Rabbit
Polyclonal
Unconjugated
50 μl, 30 μl, 100 μl, 200 μl

Quality Guarantee
Explore bioreagents carefree to elevate your research. All our products are rigorously tested for performance. If a product does not perform as described on its datasheet, our scientific support team will provide expert troubleshooting, a prompt replacement, or a refund. For full details, please see our Terms & Conditions and Buying Guide. Contact us at [email protected].

IP Result of anti-CNOT7 (IP: orb625903, 4 ug; Detection: orb625903 1:300) with mouse testis tissue lysate 4800 ug.

mouse testis tissue were subjected to SDS PAGE followed by western blot with orb625903 (CNOT7 antibody) at dilution of 1:500.
Quick Database Links
UniProt Details
−Documents Download
Request a Document
Protocol Information
CNOT7 Antibody (orb625903)
Participating in our Biorbyt product reviews program enables you to support fellow scientists by sharing your firsthand experience with our products.
Login to Submit a Review











