You have no items in your shopping cart.
COX4I1 Antibody
Description
Images & Validation
−| Tested Applications | IF, IHC, IP, WB |
|---|---|
| Reactivity | Human, Mouse, Rat |
| Application Notes |
Key Properties
−| Antibody Type | Primary Antibody |
|---|---|
| Host | Rabbit |
| Clonality | Polyclonal |
| Isotype | IgG |
| Immunogen | Recombinant fusion protein containing a sequence corresponding to amino acids 23-169 of human COX IV (NP_001852.1). |
| Target | COX4I1 |
| Molecular Weight | Observed: 17kDa |
| Purification | Affinity purification |
| Conjugation | Unconjugated |
Storage & Handling
−| Storage | Maintain refrigerated at 2-8°C for up to 2 weeks. For long term storage store at -20°C in small aliquots to prevent freeze-thaw cycles. |
|---|---|
| Buffer/Preservatives | Liquid |
| Concentration | batch dependent |
| Disclaimer | For research use only |
Alternative Names
−Similar Products
−COX4I1 Mouse Monoclonal Antibody (Mitochondrial Loading Control) [orb423160]
IF, IHC-Fr, IHC-P, WB
Mouse, Rat
Human, Mouse, Rat
Mouse
Monoclonal
Unconjugated
500 μl, 100 μl, 50 μl, 200 μgARS2/SRRT Antibody [orb1676512]
ELISA, FC, ICC, IF, IHC, IP, WB
Human, Mouse, Rat
Rabbit
Polyclonal
Unconjugated
100 μgCOX IV/COX4I1 Antibody [orb412995]
ELISA, FC, ICC, IF, IHC, WB
Human, Mouse, Rat
Rabbit
Polyclonal
Unconjugated
100 μg

Quality Guarantee
Explore bioreagents carefree to elevate your research. All our products are rigorously tested for performance. If a product does not perform as described on its datasheet, our scientific support team will provide expert troubleshooting, a prompt replacement, or a refund. For full details, please see our Terms & Conditions and Buying Guide. Contact us at [email protected].

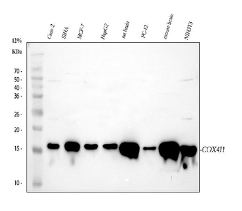
Western blot analysis of extracts of various cell lines, using COX IV Antibody (orb1256931) at 1:1000 dilution. Secondary antibody: HRP Goat Anti-Rabbit IgG (H+L) at 1:10000 dilution. Lysates/proteins: 25 ug per lane. Blocking buffer: 3% nonfat dry milk in TBST. Detection: ECL Basic Kit. Exposure time: 15s.

Immunohistochemistry of paraffin-embedded rat spleen using COX IV antibody (orb1256931) at dilution of 1:100 (40x lens).

Immunohistochemistry of paraffin-embedded rat heart using COX IV antibody (orb1256931) at dilution of 1:100 (40x lens).

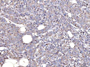
Immunohistochemistry of paraffin-embedded human lung cancer using COX IV antibody (orb1256931) at dilution of 1:100 (40x lens).

Immunohistochemistry of paraffin-embedded human liver cancer using COX IV antibody (orb1256931) at dilution of 1:100 (40x lens).

Immunohistochemistry of paraffin-embedded human placenta using COX IV antibody (orb1256931) at dilution of 1:100 (40x lens).

Immunofluorescence analysis of U2OS cells using COX IV antibody (orb1256931). Blue: DAPI for nuclear staining.

Immunoprecipitation analysis of 200 ug extracts of 22Rv1 cells, using 3 ug COX IV antibody (orb1256931). Western blot was performed from the immunoprecipitate using COX IV antibody (orb1256931) at a dilution of 1:1000.
Quick Database Links
UniProt Details
−Documents Download
Request a Document
Protocol Information
COX4I1 Antibody (orb1256931)
Participating in our Biorbyt product reviews program enables you to support fellow scientists by sharing your firsthand experience with our products.
Login to Submit a Review































































