You have no items in your shopping cart.
CSNK2B Antibody
Description
Images & Validation
−| Tested Applications | FC, ICC, IHC, WB |
|---|---|
| Dilution Range | WB: 1/500 - 1/2000; IHC: 1/200 - 1/1000; IF/ICC: 1/200 - 1/1000; FCM: 1/200 - 1/400; ELISA: 1/10000 |
| Reactivity | Human |
Key Properties
−| Antibody Type | Primary Antibody |
|---|---|
| Host | Mouse |
| Clonality | Monoclonal |
| Isotype | Mouse IgG1 |
| Clone No. | 2F12F3 |
| Immunogen | Purified recombinant fragment of human CSNK2B (AA: FULL(1-215)) expressed in E. Coli. |
| Target | Disease |
| Molecular Weight | 25kDa |
| Conjugation | Unconjugated |
Storage & Handling
−| Storage | Maintain refrigerated at 2-8°C for up to 2 weeks. For long term storage store at -20°C in small aliquots to prevent freeze-thaw cycles. |
|---|---|
| Buffer/Preservatives | Purified antibody in PBS with 0.05% sodium azide. |
| Concentration | Approximately 1mg/ml (varies from batch to batch). Please inquire for precise concentration. |
| Expiration Date | 12 months from date of receipt. |
| Disclaimer | For research use only |
Alternative Names
−Similar Products
−CSNK2B/CK II beta Recombinant Rabbit Monoclonal Antibody [orb704317]
IF, IHC-Fr, IHC-P, WB
Mouse, Rat
Human, Mouse, Rat
Rabbit
Recombinant
Unconjugated
50 μl, 100 μlCasein Kinase IIβ (phospho Ser209) rabbit pAb Antibody [orb767740]
ELISA, IF, IHC, WB
Human, Mouse, Rat
Polyclonal
Unconjugated
50 μl, 100 μlCSNK2B Rabbit Polyclonal Antibody [orb1098101]
ELISA, IHC, WB
Human, Mouse, Rat
Rabbit
Polyclonal
Unconjugated
100 μg

Quality Guarantee
Explore bioreagents carefree to elevate your research. All our products are rigorously tested for performance. If a product does not perform as described on its datasheet, our scientific support team will provide expert troubleshooting, a prompt replacement, or a refund. For full details, please see our Terms & Conditions and Buying Guide. Contact us at [email protected].

Western blot analysis of HEK293 using CSNK2B antibody

Western blot analysis of Hela (Lane1), Jurkat (Lane2), K562 (Lane3), HepG2 (Lane4), C6 (Lane5), SK-N-SH (Lane6), NTERA-2 (Lane7), MCF-7 (Lane8), NIH/3T3 (Lane9) cell lysate using CSNK2B antibody

ELISA Black line: Control Antigen (100 ng); Purple line: Antigen(10ng); Blue line: Antigen (50 ng); Red line: Antigen (100 ng)

Flow cytometric analysis of Hela cells using CSNK2B antibody

Immunofluorescence analysis of MCF-7 cells using CSNK2B antibody

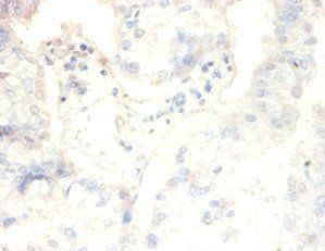
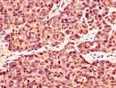
Immunohistochemical analysis of formalin-fixed and paraffin-embedded cervical cancer tissues using CSNK2B antibody

Immunohistochemical analysis of formalin-fixed and paraffin-embedded colon cancer tissues using CSNK2B antibody

Western blot analysis of human recombinant protein using CSNK2B antibody
Documents Download
Request a Document
Protocol Information
CSNK2B Antibody (orb229803)
Participating in our Biorbyt product reviews program enables you to support fellow scientists by sharing your firsthand experience with our products.
Login to Submit a Review

































