You have no items in your shopping cart.
CSPG4 Antibody
Description
Research Area
Images & Validation
−| Tested Applications | ELISA, IF, IHC, WB |
|---|---|
| Dilution range | WB: 1:500-1:2000; IHC: 1:50-1:200; IF: 1:50-1:500 |
| Reactivity | Human, Mouse, Rat |
Key Properties
−| Antibody Type | Primary Antibody |
|---|---|
| Host | Rabbit |
| Clonality | Polyclonal |
| Isotype | IgG |
| Immunogen | chondroitin sulfate proteoglycan 4 |
| Target | CSPG4 |
| Molecular Weight | 270kDa |
| Purity | ≥95% as determined by SDS-PAGE |
| Purification | Immunogen affinity purified |
| Conjugation | Unconjugated |
Storage & Handling
−| Storage | Maintain refrigerated at 2-8°C for up to 2 weeks. For long term storage store at -20°C in small aliquots to prevent freeze-thaw cycles. |
|---|---|
| Form/Appearance | liquid |
| Disclaimer | For research use only |
Alternative Names
−Similar Products
−Human Melanoma Associated Chondroitin Sulfate Proteoglycan (MCSP) ELISA Kit [orb776939]
Human
0.16-10 ng/mL
0.054 ng/mL
96 T, 48 TRat Melanoma Associated Chondroitin Sulfate Proteoglycan (MCSP) ELISA Kit [orb1146964]
Rat
0.16-10 ng/mL
0.058 ng/mL
48 T, 96 TNG2 Recombinant Rabbit Monoclonal Antibody [orb704325]
WB
Mouse, Rat
Human
Rabbit
Recombinant
Unconjugated
25 μl, 100 μl, 50 μlNG2 Rabbit Polyclonal Antibody [orb500595]
IF, IHC-Fr, IHC-P, WB
Equine, Porcine, Rat
Human, Mouse
Rabbit
Polyclonal
Unconjugated
50 μl, 100 μl, 200 μlNG2 Rabbit Polyclonal Antibody (FITC) [orb463913]
IF
Equine, Porcine, Rat
Human, Mouse
Rabbit
Polyclonal
FITC
100 μl

Quality Guarantee
Explore bioreagents carefree to elevate your research. All our products are rigorously tested for performance. If a product does not perform as described on its datasheet, our scientific support team will provide expert troubleshooting, a prompt replacement, or a refund. For full details, please see our Terms & Conditions and Buying Guide. Contact us at [email protected].

Hela cells were subjected to SDS PAGE followed by western blot with orb1100534 (CSPG4 antibody) at dilution of 1:1000.

Immunofluorescent analysis of Hela cells using orb1100534 (CSPG4 antibody) at dilution of 1:50.

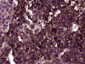
Immunohistochemistry of paraffin-embedded human kidney slide using orb1100534 (CSPG4 antibody) at dilution of 1:100.
Quick Database Links
UniProt Details
−Documents Download
Request a Document
Protocol Information
CSPG4 Antibody (orb1100534)
Participating in our Biorbyt product reviews program enables you to support fellow scientists by sharing your firsthand experience with our products.
Login to Submit a Review








