You have no items in your shopping cart.
Cyclin D1 Antibody
Description
Research Area
Images & Validation
−| Tested Applications | IF, IHC, WB |
|---|---|
| Dilution range | Western Blot 1:500-1:1000 Immunofluorescence 1:100-1:200 Immunohistochemistry (Paraffin) 1:100–1:200 |
| Reactivity | Human, Mouse, Rat |
Key Properties
−| Host | Rabbit |
|---|---|
| Clonality | Polyclonal |
| Isotype | Rabbit-IgG |
| Immunogen | Synthetic peptide / encompassing a sequence within the C-terminus region. |
| Target | Cyclin D1 |
| Conjugation | Unconjugated |
Storage & Handling
−| Storage | Maintain refrigerated at 2-8°C for up to 2 weeks. For long term storage store at -20°C in small aliquots to prevent freeze-thaw cycles. |
|---|---|
| Disclaimer | For research use only |
Similar Products
−Cyclin D1 Rabbit Polyclonal Antibody [orb10496]
ICC, IF, IHC-Fr, IHC-P, WB
Canine
Human, Mouse, Rat
Rabbit
Polyclonal
Unconjugated
50 μl, 100 μl, 200 μlCyclin D1 Rabbit Polyclonal Antibody [orb500813]
FC, ICC, IF, IHC-Fr, IHC-P
Mouse, Rat
Human, Mouse, Rat
Rabbit
Polyclonal
Unconjugated
50 μl, 100 μl, 200 μlCyclin D1 Antibody (S90) [orb1931553]
IF, IHC-P, WB
Bovine
Human, Mouse, Rat
Rabbit
Polyclonal
Unconjugated
100 μl, 50 μlCyclin D1 (phospho Thr286) rabbit pAb Antibody [orb764301]
ELISA, IF, IHC, WB
Human, Mouse, Rat
Polyclonal
Unconjugated
100 μl, 50 μlCyclin D1 rabbit pAb Antibody [orb764956]
ELISA, IF, IHC, WB
Human, Mouse, Porcine, Rat
Polyclonal
Unconjugated
100 μl

Quality Guarantee
Explore bioreagents carefree to elevate your research. All our products are rigorously tested for performance. If a product does not perform as described on its datasheet, our scientific support team will provide expert troubleshooting, a prompt replacement, or a refund. For full details, please see our Terms & Conditions and Buying Guide. Contact us at [email protected].

Anti-Cyclin D1 antibody at 1/1000 dilution, Lysates at 30 µg per lane, This blot was produced using a 12% SDS-PAGE. Nitrocellulose membrane was then blocked for an hour before being incubated with orb1294339 overnight at 4°C.

Anti-Cyclin D1 antibody at 1/1000 dilution, Lysates at 30 µg per lane, This blot was produced using a 12% SDS-PAGE. Nitrocellulose membrane was then blocked for an hour before being incubated with orb1294339 overnight at 4°C.

Immunofluorescence: cells were fixed with 4% paraformaldehyde for 10 min at RT, permeabilized with 0.1% NP-40 for 10 min at RT then blocked with 5% BSA for 30 min at room temperature. Cells were stained with orb1294339 anti-Cyclin D1 antibody (red) at 1:400 and 4°C. DAPI (blue) was used as the nuclear counter stain.

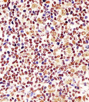
Immunohistochemical analysis of paraffin embedded Human cancer tissue labeling Cyclin D1 with orb1294339 at 1/200.

Immunohistochemical analysis of paraffin embedded Human cancer tissue labeling Cyclin D1 with orb1294339 at 1/200.
Quick Database Links
Documents Download
Request a Document
Protocol Information
Cyclin D1 Antibody (orb1294339)
Participating in our Biorbyt product reviews program enables you to support fellow scientists by sharing your firsthand experience with our products.
Login to Submit a Review






























