You have no items in your shopping cart.
CYP46A1 Antibody
Description
Images & Validation
−| Tested Applications | ELISA, IHC, WB |
|---|---|
| Dilution range | WB: 1:500 - 1:2000; IHC: 1:50 - 1:100 |
| Reactivity | Human, Mouse, Rat |
Key Properties
−| Antibody Type | Primary Antibody |
|---|---|
| Host | Rabbit |
| Clonality | Polyclonal |
| Isotype | IgG |
| Immunogen | cytochrome P450, family 46, subfamily A, polypeptide 1 |
| Target | CYP46A1 |
| Molecular Weight | 57 kDa |
| Purity | ≥95% as determined by SDS-PAGE |
| Purification | Immunogen affinity purified |
| Conjugation | Unconjugated |
Storage & Handling
−| Storage | Maintain refrigerated at 2-8°C for up to 2 weeks. For long term storage store at -20°C in small aliquots to prevent freeze-thaw cycles. |
|---|---|
| Form/Appearance | liquid |
| Disclaimer | For research use only |
Alternative Names
−Similar Products
−CYP46A1 Rabbit Polyclonal Antibody [orb330329]
WB
Bovine, Canine, Equine, Goat, Guinea pig, Mouse, Rat
Human
Rabbit
Polyclonal
Unconjugated
100 μlCYP46A1 Antibody [orb524040]
ELISA, IHC, WB
Human, Mouse, Rat
Rabbit
Polyclonal
Unconjugated
50 μl, 100 μl

Quality Guarantee
Explore bioreagents carefree to elevate your research. All our products are rigorously tested for performance. If a product does not perform as described on its datasheet, our scientific support team will provide expert troubleshooting, a prompt replacement, or a refund. For full details, please see our Terms & Conditions and Buying Guide. Contact us at [email protected].

human brain tissue were subjected to SDS PAGE followed by western blot with orb626199 (CYP46A1 antibody) at dilution of 1:1000.

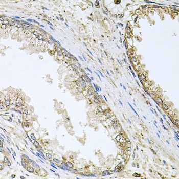
Immunohistochemistry of paraffin-embedded human prostate using orb626199 (CYP46A1 antibody) at dilution of 1:50.
Quick Database Links
UniProt Details
−Documents Download
Request a Document
Protocol Information
CYP46A1 Antibody (orb626199)
Participating in our Biorbyt product reviews program enables you to support fellow scientists by sharing your firsthand experience with our products.
Login to Submit a Review












