You have no items in your shopping cart.
Cystatin A Antibody / CSTA
Description
Images & Validation
−| Tested Applications | IHC-P, WB |
|---|---|
| Dilution Range | Immunohistochemistry (FFPE): 1-2ug/ml,Western blot: 1-2ug/ml |
| Reactivity | Human |
| Application Notes |
Key Properties
−| Antibody Type | Primary Antibody |
|---|---|
| Host | Mouse |
| Clonality | Monoclonal |
| Isotype | Mouse IgG2c, kappa |
| Clone No. | CPTC-CSTA-1 |
| Immunogen | A recombinant human partial protein (amino acids 1-98) was used as the immunogen for the Cystatin A antibody. |
| Purification | Protein G affinity chromatography |
| Conjugation | Unconjugated |
Storage & Handling
−| Storage | Maintain refrigerated at 2-8°C for up to 2 weeks. For long term storage store at -20°C in small aliquots to prevent freeze-thaw cycles. |
|---|---|
| Buffer/Preservatives | 1 mg/ml in 1X PBS; rAlbumin free, sodium azide free |
| Expiration Date | 12 months from date of receipt. |
| Disclaimer | For research use only |
Similar Products
−Recombinant Cystatin A Antibody / CSTA [orb2636429]
IHC-P
Human
Mouse
Monoclonal
Unconjugated
100 μg, 20 μg

Quality Guarantee
Explore bioreagents carefree to elevate your research. All our products are rigorously tested for performance. If a product does not perform as described on its datasheet, our scientific support team will provide expert troubleshooting, a prompt replacement, or a refund. For full details, please see our Terms & Conditions and Buying Guide. Contact us at [email protected].

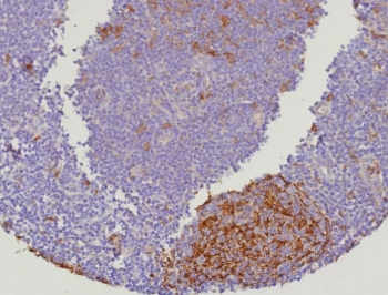
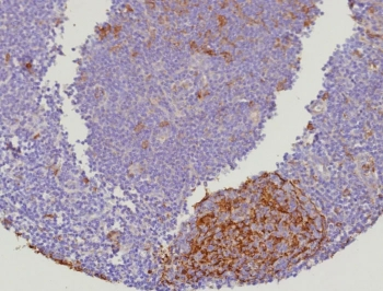
IHC staining of FFPE human tonsil with Cystatin A antibody (clone CPTC-CSTA-1). HIER: boil tissue sections in pH9 10mM Tris with 1mM EDTA for 10-20 min and allow to cool before testing.

IHC staining of FFPE human tonsil with Cystatin A antibody (clone CPTC-CSTA-1). HIER: boil tissue sections in pH9 10mM Tris with 1mM EDTA for 10-20 min and allow to cool before testing.

IHC staining of FFPE human prostate with Cystatin A antibody (clone CPTC-CSTA-1). HIER: boil tissue sections in pH9 10mM Tris with 1mM EDTA for 10-20 min and allow to cool before testing.

SDS-PAGE analysis of purified, BSA-free Cystatin A antibody (clone CPTC-CSTA-1) as confirmation of integrity and purity.
Quick Database Links
UniProt Details
−Documents Download
Request a Document
Protocol Information
Cystatin A Antibody / CSTA (orb2643151)
Participating in our Biorbyt product reviews program enables you to support fellow scientists by sharing your firsthand experience with our products.
Login to Submit a Review








