You have no items in your shopping cart.
DCXR Rabbit Polyclonal Antibody
SKU: orb578479
Description
Research Area
Epigenetics
Images & Validation
−Item 1 of 2
| Tested Applications | IHC, WB |
|---|---|
| Reactivity | Human |
| Predicted Reactivity | Bovine, Canine, Equine, Guinea pig, Mouse, Rat, Zebrafish |
Key Properties
−| Host | Rabbit |
|---|---|
| Clonality | Polyclonal |
| Immunogen | The immunogen is a synthetic peptide directed towards the middle region of human DCXR |
| Target | DCXR |
| Protein Sequence | Synthetic peptide located within the following region: STKGALDMLTKVMALELGPHKIRVNAVNPTVVMTSMGQATWSDPHKAKTM |
| Molecular Weight | 27kDa |
| Purification | Affinity Purified |
| Conjugation | Unconjugated |
Storage & Handling
−| Storage | Maintain refrigerated at 2-8°C for up to 2 weeks. For long term storage store at -20°C in small aliquots to prevent freeze-thaw cycles. |
|---|---|
| Buffer/Preservatives | Liquid. Purified antibody supplied in 1x PBS buffer with 0.09% (w/v) sodium azide and 2% sucrose. |
| Concentration | 0.5 mg/ml |
| Expiration Date | 12 months from date of receipt. |
| Disclaimer | For research use only |
Alternative Names
−XR, DCR, HCR2, P34H, HCRII, KIDCR, PNTSU, SDR20C1
Similar Products
−
Quality Guarantee
Explore bioreagents carefree to elevate your research. All our products are rigorously tested for performance. If a product does not perform as described on its datasheet, our scientific support team will provide expert troubleshooting, a prompt replacement, or a refund. For full details, please see our Terms & Conditions and Buying Guide. Contact us at [email protected].

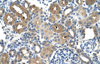
Human kidney

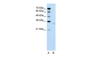
WB Suggested Anti-DCXR Antibody Titration: 0.2-1 ug/ml, Positive Control: Jurkat cell lysate.
Documents Download
Datasheet
Product Information
Request a Document
Protocol Information
WB
Western Blot (IB, immunoblot)
IHC
Immunohistochemistry
DCXR Rabbit Polyclonal Antibody (orb578479)
Based on 0 reviews
Participating in our Biorbyt product reviews program enables you to support fellow scientists by sharing your firsthand experience with our products.
Login to Submit a Review




![DCXR antibody [C2C3], C-term](/images/pub/media/catalog/product/d/c/dcxr-antibody_orb556194_wb_1.jpg)