You have no items in your shopping cart.
Description
Research Area
Images & Validation
−| Tested Applications | IHC |
|---|---|
| Reactivity | Bovine, Canine, Equine, Feline, Human |
Key Properties
−| Host | Mouse |
|---|---|
| Clonality | Monoclonal |
| Isotype | IgG2b |
| Clone No. | DES/3255 |
| Immunogen | Recombinant full-length human desmin protein |
| Target | DES |
| Source/Expression System | HEK293 cells |
| Molecular Weight | 52kDa |
| Conjugation | Unconjugated |
Storage & Handling
−| Storage | Maintain refrigerated at 2-8°C for up to 2 weeks. For long term storage store at -20°C in small aliquots to prevent freeze-thaw cycles. |
|---|---|
| Form/Appearance | 200ug/ml of Ab purified from Bioreactor Concentrate by Protein A/G. Prepared in 10mM PBS with 0.05% rAlbumin & 0.05% azide. Also available WITHOUT rAlbumin & azide at 1.0mg/ml. |
| Expiration Date | 12 months from date of receipt. |
| Disclaimer | For research use only |
Alternative Names
−Similar Products
−Desmin Recombinant Rabbit Monoclonal Antibody [orb1151963]
ICC, IF, IHC-Fr, IHC-P, WB
Mouse, Rat
Human, Mouse, Rat
Rabbit
Recombinant
Unconjugated
100 μl, 25 μl, 50 μlDesmin Rabbit Polyclonal Antibody [orb196275]
IF, IHC, WB
Human, Mouse, Rat
Rabbit
Polyclonal
Unconjugated
100 μgDesmin Rabbit Polyclonal Antibody [orb10538]
ICC, IF, IHC-Fr, IHC-P, WB
Bovine, Canine, Equine, Gallus, Guinea pig, Porcine, Rabbit, Sheep
Human, Mouse, Rat
Rabbit
Polyclonal
Unconjugated
50 μl, 100 μl, 200 μlDesmin Mouse Monoclonal Antibody [orb570326]
FC, IHC, WB
Human, Mouse, Rat
Mouse
Monoclonal
Unconjugated
100 μgC5a Rabbit Polyclonal Antibody [orb308733]
ELISA, IHC-P
Human, Mouse, Rat
Rabbit
Polyclonal
Unconjugated
100 μg

Quality Guarantee
Explore bioreagents carefree to elevate your research. All our products are rigorously tested for performance. If a product does not perform as described on its datasheet, our scientific support team will provide expert troubleshooting, a prompt replacement, or a refund. For full details, please see our Terms & Conditions and Buying Guide. Contact us at [email protected].

Formalin-fixed, paraffin-embedded cat smooth muscle stained with Desmin Mouse Monoclonal Antibody (DES/3255) at 2 ug/ml. HIER: Tris/EDTA, pH9.0, 45 min. 2°: HRP-polymer, 30 min. DAB, 5 min.

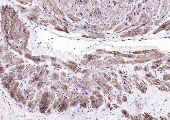
Formalin-fixed, paraffin-embedded cow small intestine stained with Desmin Mouse Monoclonal Antibody (DES/3255) at 2 ug/ml. HIER: Tris/EDTA, pH9.0, 45 min. 2°: HRP-polymer, 30 min. DAB, 5 min.

Formalin-fixed, paraffin-embedded dog smooth muscle stained with Desmin Mouse Monoclonal Antibody (DES/3255) at 2 ug/ml. HIER: Tris/EDTA, pH9.0, 45 min. 2°: HRP-polymer, 30 min. DAB, 5 min.

Formalin-fixed, paraffin-embedded horse smooth muscle stained with Desmin Mouse Monoclonal Antibody (DES/3255) at 2 ug/ml. HIER: Tris/EDTA, pH9.0, 45 min. 2°: HRP-polymer, 30 min. DAB, 5 min.

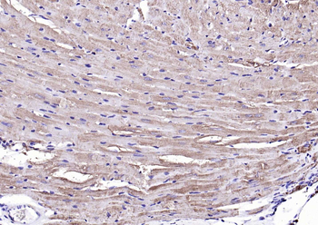
Formalin-fixed, paraffin-embedded human cardiac muscle stained with Desmin Mouse Monoclonal Antibody (DES/3255) at 2 ug/ml. HIER: Tris/EDTA, pH9.0, 45 min. 2°: HRP-polymer, 30 min. DAB, 5 min.

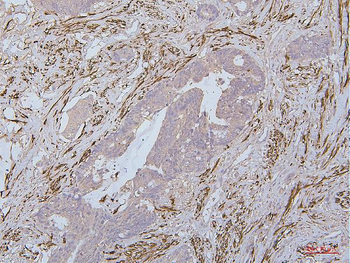
Formalin-fixed, paraffin-embedded human prostate stained with Desmin Mouse Monoclonal Antibody (DES/3255) at 2 ug/ml. HIER: Tris/EDTA, pH9.0, 45 min. 2°: HRP-polymer, 30 min. DAB, 5 min.

Formalin-fixed, paraffin-embedded human skeletal muscle stained with Desmin Mouse Monoclonal Antibody (DES/3255) at 2 ug/ml. Inset: PBS instead of primary antibody; secondary only negative control.

SDS-PAGE Analysis Purified Desmin Mouse Monoclonal Antibody (DES/3255). Confirmation of Purity and Integrity of Antibody.
Quick Database Links
UniProt Details
−Documents Download
Request a Document
DES Antibody (orb1410385)
Participating in our Biorbyt product reviews program enables you to support fellow scientists by sharing your firsthand experience with our products.
Login to Submit a Review




































