You have no items in your shopping cart.
DHODH Antibody
Description
Research Area
Images & Validation
−| Tested Applications | ELISA, IHC |
|---|---|
| Dilution Range | IHC-P:1:20-200 |
| Reactivity | Human |
Key Properties
−| Host | Rabbit |
|---|---|
| Clonality | Polyclonal |
| Isotype | IgG |
| Immunogen | Recombinant Human Dihydroorotate dehydrogenase (quinone), mitochondrial protein (241-395AA) |
| Target | DHODH |
| Purification | >95%, Protein G purified |
| Conjugation | Unconjugated |
Storage & Handling
−| Storage | Maintain refrigerated at 2-8°C for up to 2 weeks. For long term storage store at -20°C in small aliquots to prevent freeze-thaw cycles. |
|---|---|
| Form/Appearance | Liquid |
| Buffer/Preservatives | Preservative: 0.03% Proclin 300. Constituents: 50% Glycerol |
| Expiration Date | 12 months from date of receipt. |
| Disclaimer | For research use only |
Alternative Names
−Similar Products
−DHODH Mouse Monoclonal Antibody [orb865662]
IHC, WB
Human, Mouse, Rat
Mouse
Monoclonal
Unconjugated
100 μgHuman Dihydroorotate Dehydrogenase (DHODH) ELISA Kit [orb777577]
Human
0.16-10 ng/mL
0.052 ng/mL
96 T, 48 TMouse Dihydroorotate Dehydrogenase (DHODH) ELISA Kit [orb780605]
Mouse
0.16-10 ng/mL
0.057 ng/mL
96 T, 48 TDHODH rabbit pAb Antibody [orb767880]
ELISA, IF, IHC, WB
Human, Mouse, Rat
Polyclonal
Unconjugated
50 μl, 100 μlDHODH Rabbit Polyclonal Antibody [orb381058]
IHC, WB
Human, Mouse, Rat
Rabbit
Polyclonal
Unconjugated
100 μg

Quality Guarantee
Explore bioreagents carefree to elevate your research. All our products are rigorously tested for performance. If a product does not perform as described on its datasheet, our scientific support team will provide expert troubleshooting, a prompt replacement, or a refund. For full details, please see our Terms & Conditions and Buying Guide. Contact us at [email protected].

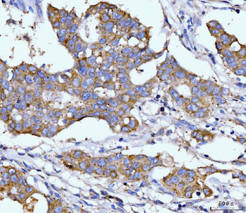
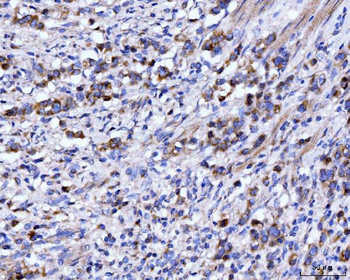
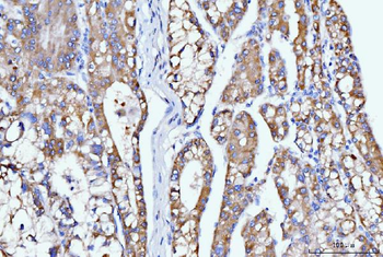
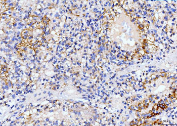
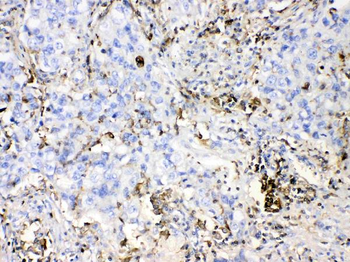
Immunohistochemistry of paraffin-embedded human breast cancer tissue using DHODH antibody
Quick Database Links
UniProt Details
−Documents Download
Request a Document
Protocol Information
DHODH Antibody (orb414701)
Participating in our Biorbyt product reviews program enables you to support fellow scientists by sharing your firsthand experience with our products.
Login to Submit a Review













