You have no items in your shopping cart.
eEF2 antibody
Description
Images & Validation
−| Tested Applications | IHC-P, WB |
|---|---|
| Dilution Range | WB: 1-200-2000, IHC-P: 1:100-500 |
| Reactivity | Human, Mouse, Rat |
Key Properties
−| Host | Rabbit |
|---|---|
| Clonality | Polyclonal |
| Isotype | IgG |
| Immunogen | KLH conjugated synthetic peptide derived from human eEF2. Please contact us for the exact immunogen sequence. The peptide is available as orb393995. |
| Target | eEF2 |
| Molecular Weight | 53 kDa |
| Purity | Polyclonal antibodies are purified by peptide affinity chromatography |
| Conjugation | Unconjugated |
Storage & Handling
−| Storage | Maintain refrigerated at 2-8°C for up to 2 weeks. For long term storage store at -20°C in small aliquots to prevent freeze-thaw cycles. |
|---|---|
| Form/Appearance | 10 mM PBS, 0.02% sodium azide |
| Concentration | - 100 μg (in 200 μl): 0.5 mg/ml- 200 μg (in 400 μl): 0.5 mg/ml |
| Expiration Date | 12 months from date of receipt. |
| Disclaimer | For research use only |
Alternative Names
−Similar Products
−EEF2/Elongation factor 2 Rabbit Polyclonal Antibody [orb738382]
FC, ICC, IF, IHC, WB
Human, Monkey, Mouse, Rat
Rabbit
Polyclonal
Unconjugated
100 μgEEF2 Mouse Monoclonal Antibody [orb692233]
FC, ICC, IF, IHC, WB
Human, Mouse, Rat
Mouse
Monoclonal
Unconjugated
100 μgEEF2 Rabbit Polyclonal Antibody [orb692171]
ELISA, IHC, WB
Human, Monkey, Mouse, Rat, Zebrafish
Rabbit
Polyclonal
Unconjugated
100 μgEF-2 (phospho Thr56) rabbit pAb Antibody [orb767919]
ELISA, IF, IHC, WB
Human, Mouse, Rat
Polyclonal
Unconjugated
100 μl, 50 μlEF-2 rabbit pAb Antibody [orb765105]
ELISA, IF, IHC, WB
Human, Mouse, Rat
Polyclonal
Unconjugated
50 μl, 100 μl

Quality Guarantee
Explore bioreagents carefree to elevate your research. All our products are rigorously tested for performance. If a product does not perform as described on its datasheet, our scientific support team will provide expert troubleshooting, a prompt replacement, or a refund. For full details, please see our Terms & Conditions and Buying Guide. Contact us at [email protected].

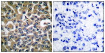
Immunohistochemical staining of rat stomach tissue using eEF2 antibody (2.5 ug/ml)

Immunohistochemical staining of paraffin embedded human lung caner tissue using anti-eEF2 (2.5 ug/ml)

Immunofluorescence image of rat stomach tissue using anti-eEF2 (2.5 ug/ml)

IHC-P staining of human lung caner tissue using anti-eEF2 (2.5 ug/ml)

Western blot analysis of mouse brain (lane 1), mouse heart (lane 2), rat stomach (lane 3), mouse spleen (lane 4), hela (lane 5), u251 (lane 6) tissue using eEF2 antibody (1 ug/ml )

IHC-P staining of rat brain tissue using anti-eEF2 (2.5 ug/ml)
Documents Download
Request a Document
Protocol Information
eEF2 antibody (orb55862)
Participating in our Biorbyt product reviews program enables you to support fellow scientists by sharing your firsthand experience with our products.
Login to Submit a Review



































