You have no items in your shopping cart.
ELOVL4 Antibody
Description
Research Area
Images & Validation
−| Tested Applications | ELISA, IF, IHC, WB |
|---|---|
| Dilution Range | WB:1:500-5000, IHC-P:1:20-200, IF:1:50-200 |
| Reactivity | Human |
Key Properties
−| Host | Rabbit |
|---|---|
| Clonality | Polyclonal |
| Isotype | IgG |
| Immunogen | Recombinant Human Elongation of very long chain fatty acids protein 4 protein (270-314AA) |
| Target | ELOVL4 |
| Purification | >95%, Protein G purified |
| Conjugation | Unconjugated |
Storage & Handling
−| Storage | Maintain refrigerated at 2-8°C for up to 2 weeks. For long term storage store at -20°C in small aliquots to prevent freeze-thaw cycles. |
|---|---|
| Form/Appearance | Liquid |
| Buffer/Preservatives | Preservative: 0.03% Proclin 300. Constituents: 50% Glycerol |
| Expiration Date | 12 months from date of receipt. |
| Disclaimer | For research use only |
Alternative Names
−Similar Products
−Elovl4 Rabbit Polyclonal Antibody [orb763040]
ELISA, FC, ICC, IF, WB
Mouse, Rat
Rabbit
Polyclonal
Unconjugated
100 μg

Quality Guarantee
Explore bioreagents carefree to elevate your research. All our products are rigorously tested for performance. If a product does not perform as described on its datasheet, our scientific support team will provide expert troubleshooting, a prompt replacement, or a refund. For full details, please see our Terms & Conditions and Buying Guide. Contact us at [email protected].

Western blot analysis of HepG2 whole cell lysate(lane 1), Rat heart(lane 2), Rat liver(lane 3) tissue using ELOVL4 antibody

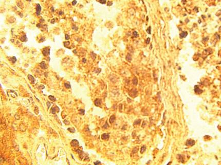
Immunohistochemical staining of human testis tissue using ELOVL4 antibody

Immunofluorescence analysis of HepG2 cells using ELOVL4 antibody

Immunohistochemical staining of human small intestine tissue using ELOVL4 antibody
Quick Database Links
UniProt Details
−Documents Download
Request a Document
Protocol Information
ELOVL4 Antibody (orb52130)
Participating in our Biorbyt product reviews program enables you to support fellow scientists by sharing your firsthand experience with our products.
Login to Submit a Review







