You have no items in your shopping cart.
Description
Images & Validation
−| Tested Applications | ICC, IF, IHC-P, WB |
|---|---|
| Dilution Range | IF/ICC: 1:100-500, IHC-P: 1:100-500, WB: 1:200-1000 |
| Reactivity | Guinea pig, Human, Mouse, Porcine, Rat |
Key Properties
−| Host | Rabbit |
|---|---|
| Clonality | Polyclonal |
| Isotype | IgG |
| Immunogen | KLH conjugated synthetic peptide derived from human eNOS. Please contact us for the exact immunogen sequence. The peptide is available as orb12926. |
| Target | eNOS |
| Molecular Weight | 133 kDa |
| Purity | Polyclonal antibodies are purified by peptide affinity chromatography |
| Conjugation | Unconjugated |
Storage & Handling
−| Storage | Maintain refrigerated at 2-8°C for up to 2 weeks. For long term storage store at -20°C in small aliquots to prevent freeze-thaw cycles. |
|---|---|
| Form/Appearance | 10 mM PBS, 0.02% sodium azide |
| Expiration Date | 12 months from date of receipt. |
| Disclaimer | For research use only |
Alternative Names
−Similar Products
−ENOS Rabbit Polyclonal Antibody [orb499570]
IF, IHC-Fr, IHC-P, WB
Bovine, Canine, Guinea pig, Mouse, Porcine, Rabbit
Human, Rat
Rabbit
Polyclonal
Unconjugated
50 μl, 100 μl, 200 μleNOS Rabbit Polyclonal Antibody [orb1294362]
IF, IHC, WB
Human, Mouse, Rat
Rabbit
Polyclonal
Unconjugated
100 μl, 25 μlPhospho-eNOS (Ser1177) Rabbit Polyclonal Antibody [orb6519]
WB
Mouse, Rat
Human
Rabbit
Polyclonal
Unconjugated
50 μl, 200 μl, 100 μlNOS3 Polyclonal Antibody [orb1412845]
IF, IHC-P, WB
Human, Mouse, Rat
Rabbit
Polyclonal
Unconjugated
100 μleNOS/NOS3 Rabbit Polyclonal Antibody [orb546315]
ELISA, FC, IHC, WB
Human, Mouse, Rat
Rabbit
Polyclonal
Unconjugated
100 μg

Quality Guarantee
Explore bioreagents carefree to elevate your research. All our products are rigorously tested for performance. If a product does not perform as described on its datasheet, our scientific support team will provide expert troubleshooting, a prompt replacement, or a refund. For full details, please see our Terms & Conditions and Buying Guide. Contact us at [email protected].

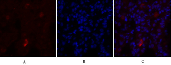
IF analysis of pig uterus tissue using eNos antibody (2.5 ug/ml)

Western blot analysis of mouse spleen (lane 1), mouse uterus (lane 2), mouse liver (lane 3), rat skin (lane 4), rat pancreas (lane 5), human breast cancer (lane 6) using eNos antibody (1 ug/ml)

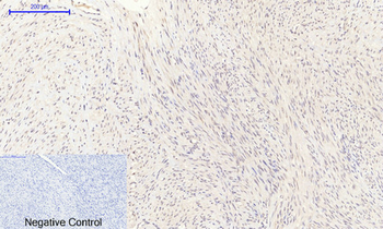
IHC-P image of rat liver tissue using anti-eNos (2.5 ug/ml)

IHC-P staining of rat skin tissue using eNos antibody (2.5 ug/ml)

Immunohistochemical staining of paraffin embedded rat skin tissue using anti-eNos (2.5 ug/ml)

IHC-P image of pig uterus tissue using eNos antibody (2.5 ug/ml)

Immunohistochemical staining of paraffin embedded pig uterus tissue using eNos antibody (2.5 ug/ml)

Immunohistochemical staining of mouse spleen tissue using eNos antibody (2.5 ug/ml)

IHC-P image of rat skin tissue using eNos antibody (2.5 ug/ml)

IHC-P image of pig uterus tissue using anti-eNos (2.5 ug/ml)

IHC-P image of rat liver tissue using anti-eNos (2.5 ug/ml)

IHC-P staining of guinea pig pancreas tissue using eNos antibody (2.5 ug/ml)

Immunofluorescence image of pig uterus tissue using eNos antibody (2.5 ug/ml)

WB analysis of mouse spleen (lane 1), mouse uterus (lane 2), mouse liver (lane 3), rat skin (lane 4), rat pancreas (lane 5), human breast cancer (lane 6) using eNos antibody (1 ug/ml)

IHC-P staining of rat skin muscle tissue using eNos antibody (2.5 ug/ml)
Documents Download
Request a Document
Protocol Information
Filter by Species
Danlian Zhou a b , Qiu Liang a b , Xiuyu Ge a b , Jing Xu Allogeneic platelet-rich plasma inhibits ferroptosis in promoting wound repair of type 2 diabetic ulcers Free Radical Biology and Medicine, (2024)
Reactivity
eNOS Rabbit Polyclonal Antibody (orb29800)
Participating in our Biorbyt product reviews program enables you to support fellow scientists by sharing your firsthand experience with our products.
Login to Submit a Review






















