You have no items in your shopping cart.
Recombinant Erythropoietin Antibody / EPO
Description
Images & Validation
−| Tested Applications | IHC-P |
|---|---|
| Dilution Range | Immunohistochemistry (FFPE): 2-4ug/ml |
| Reactivity | Human |
| Application Notes |
Key Properties
−| Antibody Type | Primary Antibody |
|---|---|
| Host | Mouse |
| Clonality | Recombinant |
| Isotype | Mouse IgG1, kappa |
| Clone No. | rEPO/1367 |
| Immunogen | A recombinant human partial protein (amino acids 28-162) was used as the immunogen for the recombinant Erythropoietin antibody. |
| Purification | Protein G affinity chromatography |
| Conjugation | Unconjugated |
Storage & Handling
−| Storage | Maintain refrigerated at 2-8°C for up to 2 weeks. For long term storage store at -20°C in small aliquots to prevent freeze-thaw cycles. |
|---|---|
| Buffer/Preservatives | 1 mg/ml in 1X PBS; rAlbumin free, sodium azide free |
| Expiration Date | 12 months from date of receipt. |
| Disclaimer | For research use only |
Similar Products
−Recombinant Erythropoietin Antibody / EPO [orb639626]
IHC-P
Human
Mouse
Recombinant
Unconjugated
100 μg, 20 μgRecombinant Erythropoietin Antibody / EPO [orb2643528]
IHC-P
Human
Rabbit
Recombinant
Unconjugated
100 μgRecombinant Erythropoietin Antibody / EPO [orb639794]
IHC-P
Human
Rabbit
Recombinant
Unconjugated
100 μg, 20 μg

Quality Guarantee
Explore bioreagents carefree to elevate your research. All our products are rigorously tested for performance. If a product does not perform as described on its datasheet, our scientific support team will provide expert troubleshooting, a prompt replacement, or a refund. For full details, please see our Terms & Conditions and Buying Guide. Contact us at [email protected].

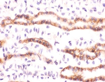
IHC staining of FFPE human kidney with recombinant Erythropoietin antibody. HIER: boil tissue sections in pH9 10mM Tris with 1mM EDTA for 10-20 min followed by cooling at RT for 20 min.

SDS-PAGE analysis of purified, BSA-free recombinant EPO antibody (clone rEPO/1367) as confirmation of integrity and purity.
Quick Database Links
UniProt Details
−Documents Download
Request a Document
Recombinant Erythropoietin Antibody / EPO (orb2643197)
Participating in our Biorbyt product reviews program enables you to support fellow scientists by sharing your firsthand experience with our products.
Login to Submit a Review


