You have no items in your shopping cart.
F7 Antibody
SKU: orb24004
Description
Research Area
Cardiovascular Research
Images & Validation
−Item 1 of 2
| Tested Applications | ELISA, IHC |
|---|---|
| Dilution range | IHC-P:1:20-200 |
| Reactivity | Human |
Key Properties
−| Host | Rabbit |
|---|---|
| Clonality | Polyclonal |
| Isotype | IgG |
| Immunogen | Recombinant Human Coagulation factor VII protein (61-212AA) |
| Target | F7 |
| Purification | >95%, Protein G purified |
| Conjugation | Unconjugated |
Storage & Handling
−| Storage | Maintain refrigerated at 2-8°C for up to 2 weeks. For long term storage store at -20°C in small aliquots to prevent freeze-thaw cycles. |
|---|---|
| Form/Appearance | Liquid |
| Buffer/Preservatives | Preservative: 0.03% Proclin 300. Constituents: 50% Glycerol |
| Disclaimer | For research use only |
Alternative Names
−coagulation factor VII (serum prothrombin conversion accelerator) antibody; Coagulation factor VII antibody; Eptacog alfa antibody; F7 antibody; FA7_HUMAN antibody; Factor VII antibody; Factor VII heavy chain antibody; Factor VII light chain antibody; FVII coagulation protein antibody; OTTHUMP00000018733 antibody; OTTHUMP00000018734 antibody; Proconvertin antibody; Serum prothrombin conversion accelerator antibody; SPCA antibody
Similar Products
−Cleaved-Factor VII LC (R212) rabbit pAb Antibody [orb763933]
ELISA, IF, IHC, WB
Human, Mouse, Rat
Polyclonal
Unconjugated
100 μl, 50 μl

Quality Guarantee
Explore bioreagents carefree to elevate your research. All our products are rigorously tested for performance. If a product does not perform as described on its datasheet, our scientific support team will provide expert troubleshooting, a prompt replacement, or a refund. For full details, please see our Terms & Conditions and Buying Guide. Contact us at [email protected].

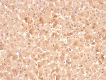
Immunohistochemical staining of human liver cancer using F7 antibody

Immunohistochemical staining of human lung cancer using F7 antibody
Quick Database Links
Gene Symbol
F7
UniProt
UniProt Details
− No UniProt data available
Documents Download
Datasheet
Product Information
Request a Document
Protocol Information
IHC
Immunohistochemistry
ELISA
Enzyme-linked Immunosorbent Assay (EIA)
F7 Antibody (orb24004)
Based on 0 reviews
Participating in our Biorbyt product reviews program enables you to support fellow scientists by sharing your firsthand experience with our products.
Login to Submit a Review














