You have no items in your shopping cart.
FCP1 Rabbit Polyclonal Antibody
Description
Research Area
Images & Validation
−| Tested Applications | IF, IHC-Fr, IHC-P, WB |
|---|---|
| Dilution Range | WB=1:500-2000, IHC-P=1:100-500, IHC-F=1:100-500, IF=1:100-500 |
| Reactivity | Mouse, Rat |
| Predicted Reactivity | Bovine, Canine, Equine, Gallus, Human, Porcine, Sheep |
Related Conjugates & Formulations
−Key Properties
−| Antibody Type | Primary Antibody |
|---|---|
| Host | Rabbit |
| Clonality | Polyclonal |
| Isotype | IgG |
| Immunogen | KLH conjugated synthetic peptide derived from human FCP1 (201-300/961aa) |
| Target | CTDP1 |
| Molecular Weight | 104 kDa |
| Purification | Affinity purified by Protein A |
| Conjugation | Unconjugated |
Storage & Handling
−| Storage | Maintain refrigerated at 2-8°C for up to 2 weeks. For long term storage store at -20°C in small aliquots to prevent freeze-thaw cycles. |
|---|---|
| Form/Appearance | Liquid |
| Buffer/Preservatives | 0.01M TBS (pH7.4) with 1% rAlbumin, 0.02% Proclin300 and 50% Glycerol. |
| Concentration | 1mg/ml |
| Expiration Date | 12 months from date of receipt. |
| Disclaimer | For research use only |
Alternative Names
−Similar Products
−CTDP1 Rabbit Polyclonal Antibody [orb1879573]
FC, IHC, WB
Human
Rabbit
Polyclonal
Unconjugated
200 μl, 100 μl, 50 μl, 30 μlCTDP1 Rabbit Polyclonal Antibody [orb586344]
WB
Canine, Equine, Guinea pig, Mouse, Porcine, Rabbit, Rat, Zebrafish
Human
Rabbit
Polyclonal
Unconjugated
100 μlCTDP1 Rabbit Polyclonal Antibody (HRP) [orb2091056]
WB
Canine, Equine, Guinea pig, Human, Mouse, Porcine, Rabbit, Rat, Zebrafish
Rabbit
Polyclonal
HRP
100 μlCTDP1 Rabbit Polyclonal Antibody (FITC) [orb2091057]
WB
Canine, Equine, Guinea pig, Human, Mouse, Porcine, Rabbit, Rat, Zebrafish
Rabbit
Polyclonal
FITC
100 μlCTDP1 Rabbit Polyclonal Antibody (Biotin) [orb2091058]
WB
Canine, Equine, Guinea pig, Human, Mouse, Porcine, Rabbit, Rat, Zebrafish
Rabbit
Polyclonal
Biotin
100 μl

Quality Guarantee
Explore bioreagents carefree to elevate your research. All our products are rigorously tested for performance. If a product does not perform as described on its datasheet, our scientific support team will provide expert troubleshooting, a prompt replacement, or a refund. For full details, please see our Terms & Conditions and Buying Guide. Contact us at [email protected].

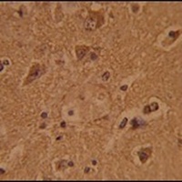
Paraformaldehyde-fixed, paraffin embedded (rat brain), Antigen retrieval by boiling in sodium citrate buffer (pH6.0) for 15 min, Block endogenous peroxidase by 3% hydrogen peroxide for 20 minutes, Blocking buffer (normal goat serum) at 37°C for 30 min, Antibody incubation with (FCP1) Polyclonal Antibody, Unconjugated (orb183668) at 1:200 overnight at 4°C, followed by operating according to SP Kit (Rabbit) instructionsand DAB staining.

Sample: Heart (Mouse) Lysate at 40 ug, Primary: Anti-FCP1 (orb183668) at 1/1000 dilution, Secondary: IRDye800CW Goat Anti-Rabbit IgG at 1/20000 dilution, Predicted band size: 104 kD, Observed band size: 104 kD.
Quick Database Links
UniProt Details
−Documents Download
Request a Document
Protocol Information
FCP1 Rabbit Polyclonal Antibody (orb183668)
Participating in our Biorbyt product reviews program enables you to support fellow scientists by sharing your firsthand experience with our products.
Login to Submit a Review



