You have no items in your shopping cart.
FGFR4 Antibody
SKU: orb415457
Description
Research Area
Cardiovascular Research
Images & Validation
−Item 1 of 2
| Tested Applications | ELISA, IF, IHC |
|---|---|
| Dilution range | IHC-P:1:20-200, IF:1:50-200 |
| Reactivity | Human |
Key Properties
−| Host | Rabbit |
|---|---|
| Clonality | Polyclonal |
| Isotype | IgG |
| Immunogen | Recombinant Human Fibroblast growth factor receptor 4 protein (25-182AA) |
| Target | FGFR4 |
| Purification | >95%, Protein G purified |
| Conjugation | Unconjugated |
Storage & Handling
−| Storage | Maintain refrigerated at 2-8°C for up to 2 weeks. For long term storage store at -20°C in small aliquots to prevent freeze-thaw cycles. |
|---|---|
| Form/Appearance | Liquid |
| Buffer/Preservatives | Preservative: 0.03% Proclin 300. Constituents: 50% Glycerol |
| Disclaimer | For research use only |
Alternative Names
−Anti-Fibroblast growth factor receptor 4 antibody, anti-FGFR-4 antibody, anti- antibody, anti-CD334 antibody, anti-FGFR4 antibody, anti-JTK2 antibody, anti-TKF antibody
Similar Products
−Human Fibroblast Growth Factor Receptor 4 (FGFR4) ELISA Kit [orb777025]
Human
0.16-10 ng/mL
0.066 ng/mL
96 T, 48 TRat Fibroblast Growth Factor Receptor 4 (FGFR4) ELISA Kit [orb1817334]
Rat
0.32-20 ng/mL
0.11 ng/mL
48 T, 96 T

Quality Guarantee
Explore bioreagents carefree to elevate your research. All our products are rigorously tested for performance. If a product does not perform as described on its datasheet, our scientific support team will provide expert troubleshooting, a prompt replacement, or a refund. For full details, please see our Terms & Conditions and Buying Guide. Contact us at [email protected].

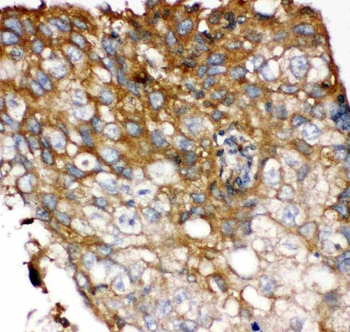
Immunohistochemistry of paraffin-embedded human pancreatic tissue using FGFR4 antibody

Immunofluorescence staining of HepG2 cells using FGFR4 antibody
Quick Database Links
Gene Symbol
FGFR4
UniProt
UniProt Details
− No UniProt data available
Documents Download
Datasheet
Product Information
Request a Document
Protocol Information
IHC
Immunohistochemistry
IF
Immunofluorescence
ELISA
Enzyme-linked Immunosorbent Assay (EIA)
FGFR4 Antibody (orb415457)
Based on 0 reviews
Participating in our Biorbyt product reviews program enables you to support fellow scientists by sharing your firsthand experience with our products.
Login to Submit a Review











