You have no items in your shopping cart.
Description
Research Area
Images & Validation
−| Tested Applications | ELISA, WB |
|---|---|
| Dilution Range | WB:1:1000-5000, IHC-P:1:500-1000, IF:1:50-500, IP:1:200-2000 |
| Reactivity | Human, Mouse |
Key Properties
−| Host | Rabbit |
|---|---|
| Clonality | Polyclonal |
| Isotype | IgG |
| Immunogen | Recombinant Human Mitochondrial fission 1 protein (1-122AA) |
| Target | FIS1 |
| Purification | Antigen Affinity Purified |
| Conjugation | Unconjugated |
Storage & Handling
−| Storage | Maintain refrigerated at 2-8°C for up to 2 weeks. For long term storage store at -20°C in small aliquots to prevent freeze-thaw cycles. |
|---|---|
| Form/Appearance | Liquid |
| Buffer/Preservatives | Preservative: 0.03% Proclin 300. Constituents: 50% Glycerol |
| Expiration Date | 12 months from date of receipt. |
| Disclaimer | For research use only |
Alternative Names
−Similar Products
−TTC11/FIS1 Rabbit Polyclonal Antibody [orb1145752]
ELISA, ICC, IF, IHC, WB
Human, Rat
Rabbit
Polyclonal
Unconjugated
100 μgfission, mitochondrial 1 Antibody [orb556723]
ICC, IHC-P, WB
Human, Mouse, Rat
Rabbit
Polyclonal
Unconjugated
100 μlTTC11/FIS1 Rabbit Polyclonal Antibody [orb654329]
ELISA, FC, ICC, IF, IHC, WB
Human, Mouse, Rat
Rabbit
Polyclonal
Unconjugated
100 μgFIS1 Rabbit Polyclonal Antibody [orb101186]
IF, IHC-Fr, IHC-P
Bovine, Canine, Equine, Mouse, Porcine
Human, Rat
Rabbit
Polyclonal
Unconjugated
200 μl, 100 μl, 50 μl

Quality Guarantee
Explore bioreagents carefree to elevate your research. All our products are rigorously tested for performance. If a product does not perform as described on its datasheet, our scientific support team will provide expert troubleshooting, a prompt replacement, or a refund. For full details, please see our Terms & Conditions and Buying Guide. Contact us at [email protected].

Immunofluorescence analysis of Hela cells using FIS1 antibody

Western blot analysis of SH-SY5Y(lane 1), Mouse brain(lane 2), Mouse heart(lane 3) tissue using FIS1 antibody

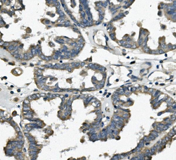
Immunohistochemical staining of human kidney tissue using FIS1 antibody
Quick Database Links
UniProt Details
−Documents Download
Request a Document
Protocol Information
FIS1 Antibody (orb45854)
Participating in our Biorbyt product reviews program enables you to support fellow scientists by sharing your firsthand experience with our products.
Login to Submit a Review
























