You have no items in your shopping cart.
FZR1 Antibody
Description
Research Area
Images & Validation
−| Tested Applications | ELISA, IHC, WB |
|---|---|
| Dilution Range | WB:1:500-1:2000, IHC-P:1:20-1:200 |
| Reactivity | Human |
Key Properties
−| Host | Rabbit |
|---|---|
| Clonality | Polyclonal |
| Isotype | IgG |
| Immunogen | Recombinant Human Fizzy-related protein homolog protein (1-493AA) |
| Target | FZR1 |
| Purification | >95%, Protein G purified |
| Conjugation | Unconjugated |
Storage & Handling
−| Storage | Maintain refrigerated at 2-8°C for up to 2 weeks. For long term storage store at -20°C in small aliquots to prevent freeze-thaw cycles. |
|---|---|
| Form/Appearance | Liquid |
| Buffer/Preservatives | Preservative: 0.03% Proclin 300. Constituents: 50% Glycerol |
| Expiration Date | 12 months from date of receipt. |
| Disclaimer | For research use only |
Alternative Names
−Similar Products
−FZR1 Rabbit Polyclonal Antibody [orb581330]
WB
Bovine, Canine, Equine, Guinea pig, Mouse, Rat, Zebrafish
Human
Rabbit
Polyclonal
Unconjugated
100 μlFZR1 Rabbit Polyclonal Antibody [orb156980]
IF, IHC-Fr, IHC-P, WB
Bovine, Canine, Equine, Gallus, Porcine, Sheep, Zebrafish
Human, Mouse, Rat
Rabbit
Polyclonal
Unconjugated
50 μl, 100 μl, 200 μlFZR1 Rabbit Polyclonal Antibody [orb627169]
ELISA, IF, IHC, WB
Human, Mouse
Rabbit
Polyclonal
Unconjugated
50 μg, 100 μg

Quality Guarantee
Explore bioreagents carefree to elevate your research. All our products are rigorously tested for performance. If a product does not perform as described on its datasheet, our scientific support team will provide expert troubleshooting, a prompt replacement, or a refund. For full details, please see our Terms & Conditions and Buying Guide. Contact us at [email protected].

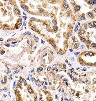
Immunohistochemistry of paraffin-embedded human testis tissue using FZR1 antibody

Western blot aanalysis of Hela whole cell lysate (Lane1), Jurkat whole cell lysate (Lane2), 293T whole cell lysate (Lane3)using FZR1 antibody
Quick Database Links
UniProt Details
−Documents Download
Request a Document
Protocol Information
FZR1 Antibody (orb351609)
Participating in our Biorbyt product reviews program enables you to support fellow scientists by sharing your firsthand experience with our products.
Login to Submit a Review













