You have no items in your shopping cart.
GAD67 antibody
Description
Research Area
Images & Validation
−| Tested Applications | ICC, IF, IHC, WB |
|---|---|
| Dilution range | WB: 1:500-1:3000 , ICC/IF: 1:100-1:1000 , IHC-P: 1:100-1:1000 , IHC-Fr: 1:100-1:1000 |
| Reactivity | Human, Mouse, Rat, Zebrafish |
| Application Notes |
Key Properties
−| Antibody Type | Primary Antibody |
|---|---|
| Host | Rabbit |
| Clonality | Polyclonal |
| Isotype | IgG |
| Immunogen | Recombinant protein encompassing a sequence within the N-terminus region of human GAD67 |
| Target | This antibody is specific for GAD67 protein, and it does not cross-react with GAD65 protein |
| Molecular Weight | 67 kDa |
| Purity | Purified by antigen-affinity chromatography |
| Purification | Purified by antigen-affinity chromatography. |
| Conjugation | Unconjugated |
Storage & Handling
−| Storage | Store as concentrated solution. Centrifuge briefly prior to opening vial. For short-term storage (1-2 weeks), store at 4°C. For long-term storage, aliquot and store at -20°C or below. Avoid multiple freeze-thaw cycles |
|---|---|
| Form/Appearance | PBS, 1% rAlbumin, 20% Glycerol, 0.025% ProClin 300 |
| Concentration | Batch specific - Reach out to find out the current concentration |
| Disclaimer | For research use only |
Alternative Names
−Similar Products
−GAD1 (isoform GAD67) Antibody [orb20081]
ELISA, FC, IF, WB
Bovine, Canine, Mouse, Porcine, Rat
Human
Goat
Polyclonal
Unconjugated
100 μgGAD-65/67 rabbit pAb Antibody [orb765265]
ELISA, IF, IHC, WB
Human, Mouse
Polyclonal
Unconjugated
100 μl, 50 μlGAD67 Rabbit Polyclonal Antibody [orb10681]
FC, IF, IHC-Fr, IHC-P, WB
Rat
Human, Mouse
Rabbit
Polyclonal
Unconjugated
50 μl, 100 μl, 200 μlHuman Glutamate Decarboxylase 1, Brain (GAD1) ELISA Kit [orb777540]
Human
0.16-10 ng/mL
0.059 ng/mL
96 T, 48 TMouse Glutamate Decarboxylase 1, Brain (GAD1) ELISA Kit [orb780956]
Mouse
0.79-50 ng/mL
0.3 ng/mL
48 T, 96 T

Quality Guarantee
Explore bioreagents carefree to elevate your research. All our products are rigorously tested for performance. If a product does not perform as described on its datasheet, our scientific support team will provide expert troubleshooting, a prompt replacement, or a refund. For full details, please see our Terms & Conditions and Buying Guide. Contact us at [email protected].

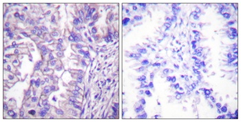
IHC-P Image - GAD67 antibody detects GAD67 protein at cytoplasm by immunohistochemical analysis. Sample: Paraffin-embedded rat brain. GAD67 stained by GAD67 antibody (orb555997) diluted at 1:500. Antigen Retrieval: Citrate buffer, pH 6.0, 15 min

Various whole cell extracts (30 μg) were separated by 7.5% SDS-PAGE, and the membrane was blotted with GAD67 antibody diluted at 1:500. The HRP-conjugated anti-rabbit IgG antibody was used to detect the primary antibody

GAD67 antibody detects GAD67 protein at cytoplasm by immunohistochemical analysis. Sample: Paraffin-embedded mouse brain. GAD67 stained by GAD67 antibody diluted at 1:500. Antigen Retrieval: Citrate buffer, pH 6.0, 15 min

GAD67 antibody detects GAD67 protein by immunofluorescent analysis. Sample: Mock and transfected 293T cells were fixed in 4% paraformaldehyde at RT for 15 min. Green: GAD67 stained by GAD67 antibody diluted at 1:500. Blue: Fluoroshield with DAPI

GAD67 antibody detects GAD67 protein by immunofluorescent analysis. Sample: DIV10 rat E18 primary cortical neuron cells were fixed in 4% paraformaldehyde at RT for 15 min. Green: GAD67 stained by GAD67 antibody diluted at 1:500. Red: Tau, stained by Tau antibody diluted at 1:500. Blue: Fluoroshield with DAPI

GAD67 antibody detects GAD67 protein at cell membrane and cytoplasm by immunohistochemical analysis. Sample: Paraffin-embedded mouse eye. Green: GAD67 stained by GAD67 antibody diluted at 1:250. Red: beta Tubulin 3/ Tuj1, a neural marker, stained by beta Tubulin 3/ Tuj1 antibody diluted at 1:500. Blue: Fluoroshield with DAPI Antigen Retrieval: Citrate buffer, pH 6.0, 15 min

GAD67 antibody detects GAD67 protein by western blot analysis. A. 30 μg 293T whole cell lysate/extract B. 30 μg whole cell lysate/extract of human GAD1-transfected 293T cells 7.5% SDS-PAGE GAD67 antibody dilution: 1:5000. The HRP-conjugated anti-rabbit IgG antibody was used to detect the primary antibody

Various tissue extracts (30 μg) were separated by 7.5% SDS-PAGE, and the membrane was blotted with GAD67 antibody diluted at 1:500. The HRP-conjugated anti-rabbit IgG antibody was used to detect the primary antibody

GAD67 antibody detects GAD67 protein on myofiber membranes by immunohistochemical analysis. Sample: Whole-mount zebrafish embryo GAD67 antibody dilution: 1:200

Various tissue extracts (50 μg) were separated by 7.5% SDS-PAGE, and the membrane was blotted with GAD67 antibody diluted at 1:1000. The HRP-conjugated anti-rabbit IgG antibody was used to detect the primary antibody

Human tissue extract (30 μg) was separated by 7.5% SDS-PAGE, and the membrane was blotted with GAD67 antibody diluted at 1:1000. The HRP-conjugated anti-rabbit IgG antibody was used to detect the primary antibody

GAD67 antibody detects GAD67 protein at cell membrane and cytoplasm by immunohistochemical analysis. Sample: Paraffin-embedded mouse cerebellum. GAD67 stained by GAD67 antibody diluted at 1:1000. Antigen Retrieval: Citrate buffer, pH 6.0, 15 min

GAD67 antibody detects GAD67 protein at cell membrane and cytoplasm by immunohistochemical analysis. Sample: Paraffin-embedded rat cerebellum. GAD67 stained by GAD67 antibody diluted at 1:1000. Antigen Retrieval: Citrate buffer, pH 6.0, 15 min
Quick Database Links
UniProt Details
−Documents Download
Request a Document
Protocol Information
GAD67 antibody (orb555997)
Participating in our Biorbyt product reviews program enables you to support fellow scientists by sharing your firsthand experience with our products.
Login to Submit a Review













