You have no items in your shopping cart.
GCN5 Antibody
SKU: orb2626342
Description
Images & Validation
−
| Tested Applications | IHC, WB |
|---|---|
| Dilution range | WB: 1/500-1/2000; IHC: 1/100-1/300; ELISA: 1/20000 |
| Reactivity | Human, Mouse |
Key Properties
−| Antibody Type | Primary Antibody |
|---|---|
| Host | Rabbit |
| Clonality | Polyclonal |
| Isotype | Rabbit IgG |
| Immunogen | Synthesized peptide derived from the C-terminal region of human GCN5. |
| Target | GCN5 |
| Molecular Weight | 100kDa |
| Conjugation | Unconjugated |
Storage & Handling
−| Storage | Maintain refrigerated at 2-8°C for up to 2 weeks. For long term storage store at -20°C in small aliquots to prevent freeze-thaw cycles. |
|---|---|
| Buffer/Preservatives | Purified antibody in PBS with 0.05% sodium azide,0.5%rAlbumin and 50% glycerol. |
| Concentration | Approximately 1mg/ml (varies from batch to batch). Please inquire for precise concentration. |
| Disclaimer | For research use only |
Alternative Names
−KAT2A; GCN5; GCN5L2; HGCN5; Histone acetyltransferase KAT2A; General control of amino acid synthesis protein 5-like 2; Histone acetyltransferase GCN5; HsGCN5; Lysine acetyltransferase 2A; STAF97
Similar Products
−KAT2B Rabbit Polyclonal Antibody [orb6260]
IF, IHC-Fr, IHC-P
Canine, Equine, Gallus, Porcine
Human, Mouse, Rat
Rabbit
Polyclonal
Unconjugated
50 μl, 100 μl, 200 μlGCN5 rabbit pAb Antibody [orb765284]
ELISA, IF, IHC, WB
Human, Mouse
Polyclonal
Unconjugated
100 μl, 50 μlMouse Biogenesis of Lysosome-Related Organelles Complex 1 Subunit 1 (BLOC1S1) ELISA Kit [orb782685]
Mouse
0.16-10 ng/mL
0.059 ng/mL
96 T, 48 T

Quality Guarantee
Explore bioreagents carefree to elevate your research. All our products are rigorously tested for performance. If a product does not perform as described on its datasheet, our scientific support team will provide expert troubleshooting, a prompt replacement, or a refund. For full details, please see our Terms & Conditions and Buying Guide. Contact us at [email protected].
Documents Download
Datasheet
Product Information
Request a Document
Protocol Information
WB
Western Blot (IB, immunoblot)
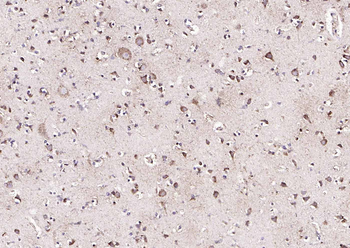
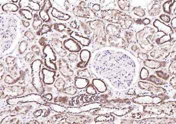
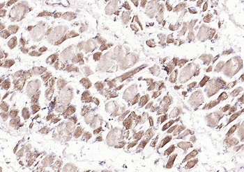
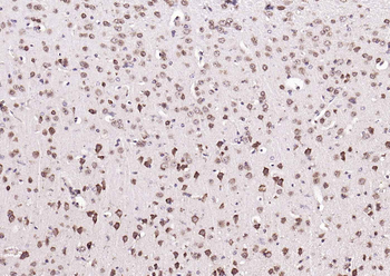
IHC
Immunohistochemistry
GCN5 Antibody (orb2626342)
Based on 0 reviews
Participating in our Biorbyt product reviews program enables you to support fellow scientists by sharing your firsthand experience with our products.
Login to Submit a Review





















