You have no items in your shopping cart.
GLIPR1L1 Antibody
Description
Research Area
Images & Validation
−| Tested Applications | ELISA, IF, IHC-P, WB |
|---|---|
| Reactivity | Human |
| Application Notes |
Key Properties
−| Antibody Type | Primary Antibody |
|---|---|
| Host | Rabbit |
| Clonality | Polyclonal |
| Isotype | IgG |
| Immunogen | GLIPR1L1 antibody was raised against an 18 amino acid peptide near the amino terminus of human GLIPR1L1 .The immunogen is located within amino acids 20 - 70 of GLIPR1L1. |
| Target | GLIPR1L1 |
| Molecular Weight | Predicted: 26 kDa Observed: 23 kDa |
| Purification | GLIPR1L1 antibody is affinity chromatography purified via peptide column. |
| Conjugation | Unconjugated |
Storage & Handling
−| Storage | Antibody can be stored at 4°C up to one year. Antibodies should not be exposed to prolonged high temperatures. |
|---|---|
| Form/Appearance | Liquid |
| Buffer/Preservatives | GLIPR1L1 antibody is supplied in PBS containing 0.02% sodium azide. |
| Concentration | 1 mg/mL |
| Expiration Date | 12 months from date of receipt. |
| Disclaimer | For research use only |
Alternative Names
−Similar Products
−
Quality Guarantee
Explore bioreagents carefree to elevate your research. All our products are rigorously tested for performance. If a product does not perform as described on its datasheet, our scientific support team will provide expert troubleshooting, a prompt replacement, or a refund. For full details, please see our Terms & Conditions and Buying Guide. Contact us at [email protected].

Western blot analysis of GLIPR1L1 in human testis tissue lysate with GLIPR1L1 antibody at 1 µg/ml.

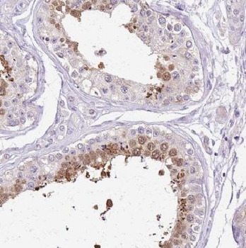
Immunohistochemistry of GLIPR1L1 in human testis tissue with GLIPR1L1 antibody at 5 µg/mL.

Immunofluorescence of GLIPR1L1 in human testis tissue with GLIPR1L1 antibody at 20 µg/mL.
Documents Download
Request a Document
Protocol Information
GLIPR1L1 Antibody (orb1239748)
Participating in our Biorbyt product reviews program enables you to support fellow scientists by sharing your firsthand experience with our products.
Login to Submit a Review


