You have no items in your shopping cart.
GNAS Rabbit Polyclonal Antibody
Description
Research Area
Images & Validation
−| Tested Applications | IHC, WB |
|---|---|
| Reactivity | Human |
| Predicted Reactivity | Bovine, Canine, Equine, Guinea pig, Mouse, Rabbit, Rat |
Key Properties
−| Host | Rabbit |
|---|---|
| Clonality | Polyclonal |
| Immunogen | The immunogen is a synthetic peptide directed towards the N terminal region of human GNAS |
| Target | GNAS |
| Protein Sequence | Synthetic peptide located within the following region: VYRATHRLLLLGAGESGKSTIVKQMRILHVNGFNGEGGEEDPQAARSNSD |
| Molecular Weight | 46 kDa |
| Purification | Affinity Purified |
| Conjugation | Unconjugated |
Storage & Handling
−| Storage | Maintain refrigerated at 2-8°C for up to 2 weeks. For long term storage store at -20°C in small aliquots to prevent freeze-thaw cycles. |
|---|---|
| Buffer/Preservatives | Liquid. Purified antibody supplied in 1x PBS buffer with 0.09% (w/v) sodium azide and 2% sucrose. |
| Concentration | 0.5 mg/ml |
| Expiration Date | 12 months from date of receipt. |
| Disclaimer | For research use only |
Alternative Names
−Similar Products
−GNAS Rabbit Polyclonal Antibody [orb330253]
IHC, WB
Bovine, Porcine, Rabbit, Rat
Human, Mouse
Rabbit
Polyclonal
Unconjugated
100 μlGNAS complex locus Antibody [orb556837]
IHC-P, WB
Human, Mouse, Rat
Rabbit
Polyclonal
Unconjugated
100 μlGNAS Rabbit Polyclonal Antibody [orb6103]
IF, IHC-Fr, IHC-P, WB
Bovine, Canine, Equine, Gallus, Mouse, Porcine, Rabbit, Sheep, Zebrafish
Human, Rat
Rabbit
Polyclonal
Unconjugated
50 μl, 100 μl, 200 μlGNAS Rabbit Polyclonal Antibody [orb330201]
WB
Bovine, Canine, Equine, Guinea pig, Mouse, Rabbit, Rat
Human
Rabbit
Polyclonal
Unconjugated
100 μlGNAS Rabbit Polyclonal Antibody [orb627410]
ELISA, IHC, IP, WB
Human, Mouse, Rat
Rabbit
Polyclonal
Unconjugated
50 μg, 100 μg

Quality Guarantee
Explore bioreagents carefree to elevate your research. All our products are rigorously tested for performance. If a product does not perform as described on its datasheet, our scientific support team will provide expert troubleshooting, a prompt replacement, or a refund. For full details, please see our Terms & Conditions and Buying Guide. Contact us at [email protected].

25 ug of the indicated Human whole cell extracts was loaded onto a 12% SDS-PAGE gel. 3 ug/mL of the antibody was used in this experiment. The canonical isoform of 46 kDa is present as well as a second isoform around 111 kDa.

Anti-GNAS antibody IHC staining of human thyroid. Immunohistochemistry of formalin-fixed, paraffin-embedded tissue after heat-induced antigen retrieval. Antibody concentration 5 ug/mL.

Sample Tissue: Human 293T Whole Cell, Antibody Dilution: 1 ug/mL.

Sample Tissue: Human Jurkat Whole Cell, Antibody Dilution: 1 ug/mL.

Sample Tissue: Human Lung Tumor, Antibody Dilution: 1.0 ug/mL.

Sample Type: MCF7 Whole Cell, Lane A: Primary Antibody, Lane B: Primary Antibody + Blocking Peptide, Primary Antibody Concentration: 1 ug/mL, Peptide Concentration: 5 ug/mL, Lysate Quantity: 25 ug/lane, Gel Concentration: 0.12%.

Lane 1: INS1 lysate, Primary Antibody Dilution: 1:1000, Secondary Antibody: Donkey anti-rabbit-HRP, Secondary Antibody Dilution: 1:1000, Gene Name: GNAS.

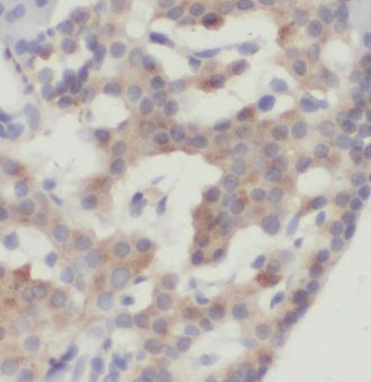
Rabbit Anti-GNAS Antibody, Paraffin Embedded Tissue: Human Pancreas, Antibody Concentration: 5 ug/mL.

WB Suggested Anti-GNAS Antibody Titration: 1 ug/mL, Positive Control: MCF-7 Whole Cell, lysate, sGNAS is strongly supported by BioGPS gene expression data to be expressed in Human MCF7 cells.
Documents Download
Request a Document
Protocol Information
GNAS Rabbit Polyclonal Antibody (orb330252)
Participating in our Biorbyt product reviews program enables you to support fellow scientists by sharing your firsthand experience with our products.
Login to Submit a Review























