You have no items in your shopping cart.
Karyopherin (importin) beta 1 Antibody
Description
Images & Validation
−| Tested Applications | ELISA, FC, IF, IHC, WB |
|---|---|
| Dilution Range | ELISA: 1:32000, WB: 0.03-0.1 μg/ml, IHC-P: 5 μg/ml |
| Reactivity | Human, Rat |
| Predicted Reactivity | Bovine, Canine, Mouse |
| Application Notes |
Key Properties
−| Host | Goat |
|---|---|
| Clonality | Polyclonal |
| Target | Karyopherin (importin) beta 1 |
| Protein Sequence | RRSKTNKAKTLAT |
| Molecular Weight | 97.2 |
| Purification | Purified from goat serum by ammonium sulphate precipitation followed by antigen affinity chromatography using the immunizing peptide. |
| Conjugation | Unconjugated |
Storage & Handling
−| Storage | Maintain refrigerated at 2-8°C for up to 2 weeks. For long term storage store at -20°C in small aliquots to prevent freeze-thaw cycles. |
|---|---|
| Buffer/Preservatives | Supplied at 0.5 mg/ml in Tris saline, 0.02% sodium azide, pH 7.3 with 0.5% bovine serum albumin. Aliquot and store at -20°C. Minimize freezing and thawing. |
| Expiration Date | 12 months from date of receipt. |
| Disclaimer | For research use only |
Alternative Names
−Similar Products
−KPNB1 Rabbit Polyclonal Antibody [orb865428]
ELISA, FC, ICC, IF, WB
Human, Mouse, Rat
Rabbit
Polyclonal
Unconjugated
100 μgSRP1/KPNA1 Rabbit Polyclonal Antibody [orb669186]
FC, ICC, IF, WB
Human, Mouse, Rat
Rabbit
Polyclonal
Unconjugated
100 μgImportin alpha 1 Rabbit Polyclonal Antibody [orb378151]
IF, IHC, WB
Human, Mouse, Rat
Rabbit
Polyclonal
Unconjugated
50 μl, 100 μl, 200 μl, 30 μl

Quality Guarantee
Explore bioreagents carefree to elevate your research. All our products are rigorously tested for performance. If a product does not perform as described on its datasheet, our scientific support team will provide expert troubleshooting, a prompt replacement, or a refund. For full details, please see our Terms & Conditions and Buying Guide. Contact us at [email protected].

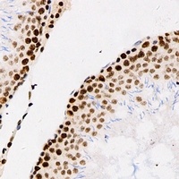
Immunohistochemical staining of paraffin embedded Human Spleen using KPNB1 antibody.

Western blot analysis of A431 (A), HEK293 (B), Jurkat (C), Daudi (D), HeLa (E) and Kelly (F) and KNRK (G) cell lysate using KPNB1 antibody.

Immunofluorescence analysis of paraformaldehyde fixed U2OS cells using KPNB1 antibody.

Flow cytometric analysis of paraformaldehyde fixed A431 cells using KPNB1 antibody.
Documents Download
Request a Document
Protocol Information
Karyopherin (importin) beta 1 Antibody (orb19255)
Participating in our Biorbyt product reviews program enables you to support fellow scientists by sharing your firsthand experience with our products.
Login to Submit a Review










