You have no items in your shopping cart.
H-Ras antibody
Description
Research Area
Images & Validation
−| Tested Applications | ICC, IHC-P, IP, WB |
|---|---|
| Dilution Range | WB: 1:500-1:10000 , IF: 1:100-1:1000 , IHC-P: 1:100-1:1000 |
| Reactivity | Human, Mouse, Rat |
Key Properties
−| Antibody Type | Primary Antibody |
|---|---|
| Host | Rabbit |
| Clonality | Polyclonal |
| Isotype | IgG |
| Immunogen | Carrier-protein conjugated synthetic peptide encompassing a sequence within the C-terminus region of human H-Ras. The exact sequence is proprietary. |
| Target | H-RAS |
| Molecular Weight | 21 |
| Purity | Purified by antigen-affinity chromatography. |
| Purification | Purified by antigen-affinity chromatography. |
| Conjugation | Unconjugated |
Storage & Handling
−| Storage | Store as concentrated solution. Centrifuge briefly prior to opening vial. For short-term storage (1-2 weeks), store at 4°C. For long-term storage, aliquot and store at -20°lC or below. Avoid multiple freeze-thaw cycles. |
|---|---|
| Form/Appearance | Liquid: 1XPBS, 20% Glycerol (pH7). 0.025% ProClin 300 was added as a preservative. |
| Buffer/Preservatives | 0.025% ProClin 300. 1XPBS pH 7, 20% Glycerol |
| Concentration | 3.47 mg/ml |
| Expiration Date | 12 months from date of receipt. |
| Disclaimer | For research use only |
Alternative Names
−Similar Products
−KAT3B/p300/EP300 Rabbit Polyclonal Antibody [orb1098087]
FC, ICC, IF, IHC, WB
Human, Mouse
Rabbit
Polyclonal
Unconjugated
100 μgN/H/K-Ras rabbit pAb Antibody [orb765761]
ELISA, IF, IHC, WB
Human, Mouse, Rat
Polyclonal
Unconjugated
100 μl, 50 μlN ras + c Ha ras Rabbit Polyclonal Antibody [orb221571]
IF, IHC-Fr, IHC-P, WB
Porcine
Human, Mouse, Rat
Rabbit
Polyclonal
Unconjugated
50 μl, 100 μl, 200 μlIRF7 Rabbit Polyclonal Antibody [orb1290002]
ELISA, FC, IHC, WB
Human
Rabbit
Polyclonal
Unconjugated
100 μg

Quality Guarantee
Explore bioreagents carefree to elevate your research. All our products are rigorously tested for performance. If a product does not perform as described on its datasheet, our scientific support team will provide expert troubleshooting, a prompt replacement, or a refund. For full details, please see our Terms & Conditions and Buying Guide. Contact us at [email protected].

Immunofluorescence analysis of HeLa cells using H-RAS antibody

Immunohistochemical staining of mouse intestine using H-RAS antibody

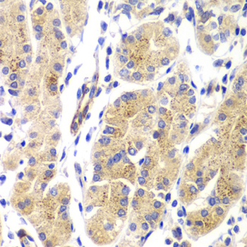
Immunohistochemical staining of mouse prostate using H-RAS antibody

Western blot analysis of Various whole cell using H-RAS antibody

Western blot analysis of PC-12 whole cell lysate(Lane 1), Rat2 whole cell lysate(Lane 2) using H-RAS antibody
Quick Database Links
UniProt Details
−Documents Download
Request a Document
Protocol Information
H-Ras antibody (orb556963)
Participating in our Biorbyt product reviews program enables you to support fellow scientists by sharing your firsthand experience with our products.
Login to Submit a Review


















