You have no items in your shopping cart.
HACE1 Antibody
SKU: orb627596
Description
Images & Validation
−Item 1 of 1
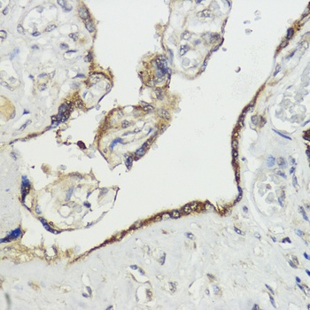
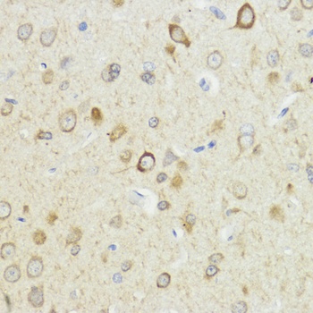
| Tested Applications | ELISA, IF, WB |
|---|---|
| Dilution range | WB: 1:500-1:2000; IF: 1:20-1:200 |
| Reactivity | Human |
Key Properties
−| Antibody Type | Primary Antibody |
|---|---|
| Host | Rabbit |
| Clonality | Polyclonal |
| Isotype | IgG |
| Immunogen | HECT domain and ankyrin repeat containing, E3 ubiquitin protein ligase 1 |
| Target | HACE1 |
| Molecular Weight | 78 kDa |
| Purity | ≥95% as determined by SDS-PAGE |
| Purification | Immunogen affinity purified |
| Conjugation | Unconjugated |
Storage & Handling
−| Storage | Maintain refrigerated at 2-8°C for up to 2 weeks. For long term storage store at -20°C in small aliquots to prevent freeze-thaw cycles. |
|---|---|
| Form/Appearance | liquid |
| Disclaimer | For research use only |
Alternative Names
−KIAA1320
Similar Products
−HACE1 Rabbit Polyclonal Antibody [orb100314]
FC
Bovine, Canine, Equine, Gallus, Human, Porcine, Rat
Mouse
Rabbit
Polyclonal
Unconjugated
100 μl, 200 μl, 50 μl

Quality Guarantee
Explore bioreagents carefree to elevate your research. All our products are rigorously tested for performance. If a product does not perform as described on its datasheet, our scientific support team will provide expert troubleshooting, a prompt replacement, or a refund. For full details, please see our Terms & Conditions and Buying Guide. Contact us at [email protected].

HEK-293 cells were subjected to SDS PAGE followed by western blot with orb627596 (HACE1 Antibody) at dilution of 1:600.
Quick Database Links
Gene Symbol
HACE1
UniProt
UniProt Details
− No UniProt data available
Documents Download
Datasheet
Product Information
Request a Document
Protocol Information
WB
Western Blot (IB, immunoblot)
IF
Immunofluorescence
ELISA
Enzyme-linked Immunosorbent Assay (EIA)
HACE1 Antibody (orb627596)
Based on 0 reviews
Participating in our Biorbyt product reviews program enables you to support fellow scientists by sharing your firsthand experience with our products.
Login to Submit a Review












