You have no items in your shopping cart.
HECTD1 antibody
Description
Images & Validation
−| Tested Applications | ELISA, ICC, IF, IHC-P |
|---|---|
| Dilution range | IF/ICC: 1:200, IHC-P:1:200 |
| Reactivity | Bovine, Canine, Equine, Gallus, Human, Mouse, Porcine, Rat, Sheep |
Key Properties
−| Host | Rabbit |
|---|---|
| Clonality | Polyclonal |
| Isotype | IgG |
| Immunogen | KLH conjugated synthetic peptide derived from human HECTD1. Please contact us for the exact immunogen sequence. The peptide is available as orb374815. |
| Target | HECTD1 |
| Molecular Weight | 289 kDa |
| Purity | Polyclonal antibodies are purified by peptide affinity chromatography |
Storage & Handling
−| Storage | Maintain refrigerated at 2-8°C for up to 2 weeks. For long term storage store at -20°C in small aliquots to prevent freeze-thaw cycles. |
|---|---|
| Form/Appearance | 10 mM PBS, 0.02% sodium azide |
| Concentration | -100 μg (in 200 μl): 0.5 mg/ml-200 μg (in 400 μl): 0.5 mg/ml |
| Disclaimer | For research use only |
Alternative Names
−Similar Products
−HECTD1 Antibody [orb627653]
ELISA, IF, IHC, IP, WB
Human, Mouse
Rabbit
Polyclonal
Unconjugated
100 μg, 50 μg

Quality Guarantee
Explore bioreagents carefree to elevate your research. All our products are rigorously tested for performance. If a product does not perform as described on its datasheet, our scientific support team will provide expert troubleshooting, a prompt replacement, or a refund. For full details, please see our Terms & Conditions and Buying Guide. Contact us at [email protected].

Immunofluorescence image of human breast cancer tissue using anti-HECTD1 (dilution at 1:200)

IHC-P image of rat kidney tissue using HECTD1 antibody (dilution of primary antibody at 1:100)

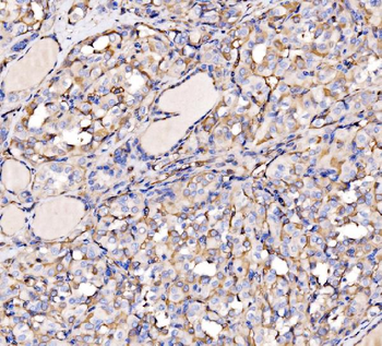
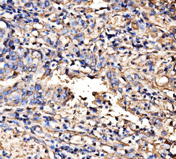
IHC-P staining of human breast cancer tissue using HECTD1 antibody (dilution at 1:100)

Immunohistochemical staining of paraffin embedded rat heart tissue using HECTD1 antibody (primary antibody at 1:100)

IHC-P staining of human breast cancer tissue using anti-HECTD1 (dilution at 1:200)

IHC-P staining of human breast cancer tissue using HECTD1 antibody (dilution at 1:200)

Immunohistochemical staining of paraffin embedded human breast fibroma tissue using anti-HECTD1 (primary antibody at 1:100)

Immunohistochemical staining of paraffin embedded human breast cancer tissue using HECTD1 antibody (primary antibody at 1:100)

Immunofluorescence image of human breast cancer tissue using anti-HECTD1 (dilution at 1:200)

IHC-P image of human breast fibroma tissue using anti-HECTD1 (dilution of primary antibody at 1:200)

Immunohistochemical staining of rat kidney tissue using anti-HECTD1 (dilution at 1:200)
Documents Download
Request a Document
Protocol Information
HECTD1 antibody (orb157476)
Participating in our Biorbyt product reviews program enables you to support fellow scientists by sharing your firsthand experience with our products.
Login to Submit a Review







