You have no items in your shopping cart.
HER2/ERBB2 Antibody
Description
Research Area
Images & Validation
−| Tested Applications | IF, IHC, WB |
|---|---|
| Dilution range | Western Blot 1:500–1:1000 Immunofluorescence 1:200–1:400 Immunohistochemistry (Paraffin) 1: 200-1:250 |
| Reactivity | Human, Mouse, Rat |
Key Properties
−| Host | Rabbit |
|---|---|
| Clonality | Polyclonal |
| Isotype | Rabbit-IgG |
| Immunogen | Synthetic peptide / Intracellular domain corresponding to Human HER2 / ERBB2 |
| Target | HER2 / ERBB2 |
| Conjugation | Unconjugated |
Storage & Handling
−| Storage | Maintain refrigerated at 2-8°C for up to 2 weeks. For long term storage store at -20°C in small aliquots to prevent freeze-thaw cycles. |
|---|---|
| Disclaimer | For research use only |
Similar Products
−
Quality Guarantee
Explore bioreagents carefree to elevate your research. All our products are rigorously tested for performance. If a product does not perform as described on its datasheet, our scientific support team will provide expert troubleshooting, a prompt replacement, or a refund. For full details, please see our Terms & Conditions and Buying Guide. Contact us at [email protected].

All lanes: Anti-HER2 / ERBB2 antibody - at 1/500 dilution, Lysates/proteins at 30 µg per lane. This blot was produced using a 5% SDS-PAGE. The gel was run at 140V for 50 minutes before being transferred onto a Nitrocellulose membrane at 18V for 60 minutes. The membrane was then blocked with 3% BSA for an hour before being incubated with orb1294317 overnight at 4°C.

Application: Immunocytochemistry (ICC), Sample: Mixture cell, Antibody: HER2 / ERBB2 antibody (orb1294317).

Immunofluorescence: cells were fixed with 4% paraformaldehyde for 10 min at RT, permeabilized with 0.1% NP-40 for 10 min at RT then blocked with 5% BSA for 30 min at room temperature. Cells were stained with orb1294317 anti-HER2 / ERBB2 antibody (red) at 1:200 and 4°C. DAPI (blue) was used as the nuclear counter stain.

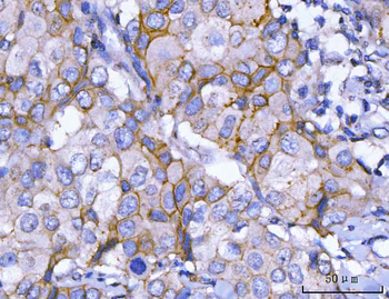
Immunohistochemical analysis of paraffin embedded Human Breast cancer tissue labeling HER2 / ERBB2 with orb1294317 at 1/200.

Immunohistochemical analysis of paraffin embedded Human Breast cancer tissue labeling HER2 / ERBB2 with orb1294317 at 1/200.

Immunohistochemical analysis of paraffin embedded Human Breast cancer tissue labeling HER2 / ERBB2 with orb1294317 at 1/200.
Quick Database Links
Documents Download
Request a Document
Protocol Information
HER2/ERBB2 Antibody (orb1294317)
Participating in our Biorbyt product reviews program enables you to support fellow scientists by sharing your firsthand experience with our products.
Login to Submit a Review





