You have no items in your shopping cart.
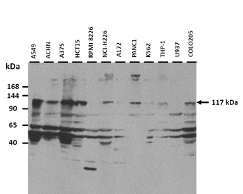
HERC5 Antibody
Description
Images & Validation
−| Tested Applications | ELISA, IF, IHC |
|---|---|
| Dilution range | IHC-P:1:20:200, IF/ICC:1:50:200 |
| Reactivity | Human |
Key Properties
−| Host | Rabbit |
|---|---|
| Clonality | Polyclonal |
| Isotype | IgG |
| Immunogen | Recombinant Human E3 ISG15--protein ligase HERC5 protein (153-284AA) |
| Target | HERC5 |
| Purification | >95%, Protein G purified |
| Conjugation | Unconjugated |
Storage & Handling
−| Storage | Maintain refrigerated at 2-8°C for up to 2 weeks. For long term storage store at -20°C in small aliquots to prevent freeze-thaw cycles. |
|---|---|
| Form/Appearance | Liquid |
| Buffer/Preservatives | Preservative: 0.03% Proclin 300. Constituents: 50% Glycerol |
| Disclaimer | For research use only |
Alternative Names
−Similar Products
−SEC23A Antibody [orb745965]
ELISA, FC, ICC, IF, IHC, WB
Human, Mouse, Rat
Rabbit
Polyclonal
Unconjugated
100 μgHERC5 Rabbit Polyclonal Antibody [orb325063]
IHC, WB
Bovine, Equine, Porcine, Rabbit, Rat
Human
Rabbit
Polyclonal
Unconjugated
100 μlHECT E3 ubiquitin ligase Rabbit Polyclonal Antibody [orb157475]
ICC, IF, IHC-Fr, IHC-P
Rat
Human, Rat
Rabbit
Polyclonal
Unconjugated
100 μl, 50 μl, 200 μlHERC5 Rabbit Polyclonal Antibody [orb325062]
WB
Bovine, Canine
Human
Rabbit
Polyclonal
Unconjugated
100 μl

Quality Guarantee
Explore bioreagents carefree to elevate your research. All our products are rigorously tested for performance. If a product does not perform as described on its datasheet, our scientific support team will provide expert troubleshooting, a prompt replacement, or a refund. For full details, please see our Terms & Conditions and Buying Guide. Contact us at [email protected].

Immunohistochemistry of paraffin-embedded human ovarian cancer tissue using HERC5 antibody

Immunofluorescence staining of Hela cells using HERC5 antibody
Quick Database Links
UniProt Details
−Documents Download
Request a Document
Protocol Information
HERC5 Antibody (orb422774)
Participating in our Biorbyt product reviews program enables you to support fellow scientists by sharing your firsthand experience with our products.
Login to Submit a Review













