You have no items in your shopping cart.
Description
Images & Validation
−| Tested Applications | ELISA, IHC, WB |
|---|---|
| Dilution Range | ELISA: 1:29,000 - 1:30,000, IHC: 2 ug/ml, WB: 1:400 - 1:1,600 |
| Reactivity | Drosophila |
| Application Notes |
Key Properties
−| Antibody Type | Primary Antibody |
|---|---|
| Host | Rabbit |
| Clonality | Polyclonal |
| Isotype | IgG |
| Immunogen | Histone H2AvD pS137 Antibody was prepared from whole rabbit serum produced by repeated immunizations with a synthetic peptide corresponding to the C-Terminal region near amino acids 125-141 of Drosophila melanogaster (fruit fly) H2AvD protein. |
| Target | His2Av |
| Purity | Affinity purified Anti-Histone H2AvD pS137 Antibody is directed against the phosphorylated form of Drosophila H2AvD protein at the pS137 residue. The product was affinity purified from monospecific antiserum by immunoaffinity purification. Antiserum was first purified against the phosphorylated form of the immunizing peptide. The resultant affinity purified antibody was then cross-adsorbed against the non-phosphorylated form of the immunizing peptide. Reactivity occurs against Drosophila H2AvD pS137 protein and the antibody is specific for the phosphorylated form of the protein. Reactivity with non-phosphorylated Drosophila H2AvD is minimal by ELISA. A BLAST analysis was used to suggest little to no cross reactivity with H2AvD proteins from other sources based on a comparison using the immunizing sequence. Reactivity against homologues from other sources is not known. |
| Conjugation | Unconjugated |
Storage & Handling
−| Storage | Store vial at -20° C prior to opening. Aliquot contents and freeze at -20° C or below for extended storage. Avoid cycles of freezing and thawing. Centrifuge product if not completely clear after standing at room temperature. This product is stable for several weeks at 4° C as an undiluted liquid. Dilute only prior to immediate use. |
|---|---|
| Form/Appearance | Liquid (sterile filtered) |
| Buffer/Preservatives | Preservative: 0.01% (w/v) Sodium Azide. Stabilizer: None; Buffer: 0.02 M Potassium Phosphate, 0.15 M Sodium Chloride, pH 7.2 |
| Concentration | 1.1 mg/ml |
| Expiration Date | 12 months from date of receipt. |
| Dry Ice Shipping | Please note: This product requires shipment on dry ice. A dry ice surcharge will apply. |
| Disclaimer | For research use only |
Alternative Names
−Similar Products
−
Quality Guarantee
Explore bioreagents carefree to elevate your research. All our products are rigorously tested for performance. If a product does not perform as described on its datasheet, our scientific support team will provide expert troubleshooting, a prompt replacement, or a refund. For full details, please see our Terms & Conditions and Buying Guide. Contact us at [email protected].

dH1 depletion induces DNA damage. a Immunostaining of dH1-depleted (siRNAdH1) and control undepleted cells (siRNAlacZ and untreated) with αdH1 and αγH2Av antibodies (both in green). DNA was stained with DAPI (blue). Insets show enlarged images of representative individual cells. Scale bars are 20 µm and 2 µm in the Insets. On the right, the number of γH2Av foci per cell is presented (n > 100 for each condition). Error bars are s.e.m. The p-value of siRNAdH1 respect to siRNAlacZ is indicated (***P 100 for each condition). Error bars are s.e.m. The p-values of siRNAdH1 respect to siRNAlacZ are indicated (***< 0.005; two-tailed Student's t-test). d On the top, WB analysis with αγH2Av and αtubulin at different time points after X-ray irradiation (10 Gy) of siRNAdH1 and untreated cells. The positions corresponding to molecular weight markers are indicated. On the bottom, quantitative analysis of the results (N = 3).

dH1 depletion induces DNA damage. a Immunostaining of dH1-depleted (siRNAdH1) and control undepleted cells (siRNAlacZ and untreated) with αdH1 and αγH2Av antibodies (both in green). DNA was stained with DAPI (blue). Insets show enlarged images of representative individual cells. Scale bars are 20 µm and 2 µm in the Insets. On the right, the number of γH2Av foci per cell is presented (n > 100 for each condition). Error bars are s.e.m. The p-value of siRNAdH1 respect to siRNAlacZ is indicated (***P 100 for each condition). Error bars are s.e.m. The p-values of siRNAdH1 respect to siRNAlacZ are indicated (***< 0.005; two-tailed Student's t-test). d On the top, WB analysis with αγH2Av and αtubulin at different time points after X-ray irradiation (10 Gy) of siRNAdH1 and untreated cells. The positions corresponding to molecular weight markers are indicated. On the bottom, quantitative analysis of the results (N = 3).

dH1 depletion induces DNA damage. a Immunostaining of dH1-depleted (siRNAdH1) and control undepleted cells (siRNAlacZ and untreated) with αdH1 and αγH2Av antibodies (both in green). DNA was stained with DAPI (blue). Insets show enlarged images of representative individual cells. Scale bars are 20 µm and 2 µm in the Insets. On the right, the number of γH2Av foci per cell is presented (n > 100 for each condition). Error bars are s.e.m. The p-value of siRNAdH1 respect to siRNAlacZ is indicated (***P 100 for each condition). Error bars are s.e.m. The p-values of siRNAdH1 respect to siRNAlacZ are indicated (***< 0.005; two-tailed Student's t-test). d On the top, WB analysis with αγH2Av and αtubulin at different time points after X-ray irradiation (10 Gy) of siRNAdH1 and untreated cells. The positions corresponding to molecular weight markers are indicated. On the bottom, quantitative analysis of the results (N = 3).

DNA damage induced by dH1 depletion associates with R-loops accumulation. a Immunostainings with αγH2Av (green) and S9.6 (red) antibodies of siRNAdH1, siRNAlacZ and untreated cells overexpressing human RNH1 (+) or not (−). Scale bar corresponds to 10 µm. b Quantitative analysis of the results shown in a. S9.6 (top) and γH2Av (center) reactivities determined as the proportion of DAPI area stained with S9.6 antibodies and the number of γH2Av foci per cell are presented (n > 50 for each condition). On the bottom, the extent of γH2Av/S9.6 colocalization is presented as the proportion of γH2Av area overlapping with S9.6 reactivity (n > 50 for each condition). Error bars are s.e.m. The p-values of siRNAdH1 respect to siRNAlacZ are indicated (no asterisk > 0.05, *** 50 for each condition). Error bars are s.e.m. The p-values of siRNAdH1 respect to siRNAlacZ are indicated (no asterisk > 0.05, *** 0.05, **< 0.01, ***< 0.005; two-tailed Student's t-test).

DNA damage induced by dH1 depletion associates with R-loops accumulation. a Immunostainings with αγH2Av (green) and S9.6 (red) antibodies of siRNAdH1, siRNAlacZ and untreated cells overexpressing human RNH1 (+) or not (−). Scale bar corresponds to 10 µm. b Quantitative analysis of the results shown in a. S9.6 (top) and γH2Av (center) reactivities determined as the proportion of DAPI area stained with S9.6 antibodies and the number of γH2Av foci per cell are presented (n > 50 for each condition). On the bottom, the extent of γH2Av/S9.6 colocalization is presented as the proportion of γH2Av area overlapping with S9.6 reactivity (n > 50 for each condition). Error bars are s.e.m. The p-values of siRNAdH1 respect to siRNAlacZ are indicated (no asterisk > 0.05, *** 50 for each condition). Error bars are s.e.m. The p-values of siRNAdH1 respect to siRNAlacZ are indicated (no asterisk > 0.05, *** 0.05, **< 0.01, ***< 0.005; two-tailed Student's t-test).

hth mutant nuclei show increased number of DNA breaks.A, A´) Wild type syncytium (cycle 11) stained for His2AvP (green) and topro3 (blue). Due to the lack of mitotic checkpoints during the rapid syncytial divisions the nuclei show some degree of DNA breaks marked with the anti-His2AvP antibody (arrowheads in A´). B, B´) However, hth mutant nuclei show more nuclear signal when stained with the same antibody (see arrows in B´) indicating that they have more breaks in their DNA. C) Quantification of the DNA breaks in the Dfhth mutant embryos and in their wild type siblings. Quantification was performed by counting the number of nuclear dots marked with the anti-His2AvP antibody. (N = 50 nuclei for each genotype from 5 different embryos each. P-value: 7, 0085X10−5).

hth mutant nuclei show increased number of DNA breaks.A, A´) Wild type syncytium (cycle 11) stained for His2AvP (green) and topro3 (blue). Due to the lack of mitotic checkpoints during the rapid syncytial divisions the nuclei show some degree of DNA breaks marked with the anti-His2AvP antibody (arrowheads in A´). B, B´) However, hth mutant nuclei show more nuclear signal when stained with the same antibody (see arrows in B´) indicating that they have more breaks in their DNA. C) Quantification of the DNA breaks in the Dfhth mutant embryos and in their wild type siblings. Quantification was performed by counting the number of nuclear dots marked with the anti-His2AvP antibody. (N = 50 nuclei for each genotype from 5 different embryos each. P-value: 7, 0085X10−5).

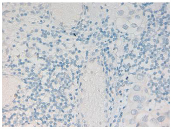
Immunohistochemistry with anti-Histone Antibody. Tissue: Human Bladder Cancer. Fixation: FFPE buffered formalin 10% conc. Ag Retrieval: HIER citrate buffer pH6 or HIER EDTA pH9. Primary antibody: 2 ug/ml at 2 hr. Secondary Ab: anti rabbit polymer HRP 20 'RT.

R-loops induced by dH1 depletion activate JNK-dependent apoptosis. a Wings from dH1-depleted his1RNAi flies of the indicated genotypes where dH1 depletion was induced in the pouch region of the wing imaginal disc. Scale bar corresponds to 500 µm. b Quantitative analysis of the wing area of dH1-depleted his1RNAi flies of the indicated genotypes. Data is expressed as fold change respect to control dH1-depleted his1RNAi; GFPRNAi (n > 20 for each condition). Error bars are s.e.m. The p-values respect to control his1RNAi; GFPRNAi are indicated (**<0.01, ***<0.005; two-tailed Student's t-test). c Immunostaining with αγH2Av (green) and αCaspase 3 (red) of wing imaginal discs from dH1-depleted his1RNAi flies upon dATRRNAi co-depletion (bottom) or not (top). DNA was stained with DAPI (blue). d Immunostaining with αCaspase 3 (red) of wing imaginal discs from dH1-depleted his1RNAi flies upon p53RNAi co-depletion (bottom) or p53H159N overexpression (top). DNA was stained with DAPI (blue). e As in d but upon bskRNAi co-depletion (top) or puc2A overexpression (bottom). Scale bars in c–e are 200 µm.

Systemic hormetic responses from muscle-specific DNA damage. (A) Detection of DNA damage (double strand breaks) in dissected longitudinal thoracic muscle of young (10 d) Act88FG4> + (w1118) controls, and flies with DNA repair attenuation specifically in thoracic muscle (mu-specific, Act88FG4>UAS-Mei-9RNAi or Act88FG4>UAS-Mei-9RNAi, UAS-ERCC1RNAi); assayed by phospho-H2aV immunostaining (red), counterstained with phalloidin ("Phall"; green, actin filaments) and DAPI (blue). Representative images shown. (B) Immunostaining to detect poly-ubiquitin protein (aggregates; "Poly-Ub.") in dissected longitudinal thoracic muscle from young (10 d) and old (30 d) flies, genotypes described above; anti-poly-ubiquitin (green), counterstained with phalloidin (red, actin filaments). Representative images shown. (C-D). Survival curves (lifespan, female flies) associated with mu-specific inhibition of Mei-9 using (C) the Act88FGal4 driver (compared to Act88FG4> + [w1118] controls) or (D) a GeneSwitch inducible driver (Act88FGS, + RU486 compared with −RU486 [vehicle alone] sibling controls). (E) Quantification of mitoses per whole dissected midgut (assayed by anti-pH3 immunostaining) at indicted ages, genotypes described above; bars represent mean ± SE, n = 25–30. (F) Immunostaining of dissected intestines to assess epithelial integrity of posterior midguts at indicated ages, genotypes described above; pH3 (green), armadillo ("Arm"; membrane, red), and DAPI (blue). Representative images shown. (G-H) Lineage tracing from ISCs using FRT recombination of a split alpha-tubulin-lacZ transgene (in Act88FG4> + [w1118, controls] or Act88FG4>UAS-Mei-9RNAi genetic background). (G) Changes in clone size (cell per clone form posterior midgut) at indicated ages; represented as box plot (median, red line), n = 25. (H) Representative images of lacZ clones from various genotypes at indicated ages, immunostaining of dissected midguts (posterior), anti-lacZ (green), and DAPI (blue). (I) Venn diagrams showing overlap of up-regulated genes (from dissected midguts) between Act88FG4>UAS-Mei-9RNAi and controls Act88FGal4> + (w1118) during aging (transcriptomes at 30 d, compared to Act88FGal4> + [w1118] controls at day 10). The threshold for genes included in the analysis was (i) changes in RPKM values of at least 2-fold up-regulated in intestine compared to young controls and (ii) a minimum RPKM value of 2. (J) Fold change (in intestinal transcriptome RPKM values; Day 30 Act88FG4>UAS-Mei-9RNAi/ Day 10 Act88FGal4> + [w1118] control [black bars] or Day 30 control/Day 10 control [gray bars]) of selected innate immune genes. Underlying data can be found in S1 Data. See also S1 and S2 Figs and S1 and S2 Tables. FRT, flippase recombination target; ISC, intestinal stem cell; pH3, phospho Histone H3; mu-specific, muscle-specific; RPKM, reads per kbp per million reads; RU486, mifepristone.

Western blot using Biorbyt's affinity purified anti-histone H2AvD pS137 antibody shows detection of a band at ~15 kDa corresponding to phosphorylated H2AvD (lane 2 arrow-head). Lane 1: mock-irradiated Drosophila melanogaster (3rd instar) larvae brain WC lysate. Lane 2: 4000-RAD gamma irradiated Drosophila melanogaster (3rd instar) larvae brain WC lysate. Separated on by SDS-PAGE and transferred to nitrocellulose. After blocking the membrane was probed with the primary antibody diluted to 1:500. Washes and reaction with secondary antibody followed incubation. Use HRP conjugated Gt-a-Rabbit IgG [H&L] MX (p/n orb347654) and ECL for detection.
Documents Download
Request a Document
Protocol Information
His2Av Antibody (orb345531)
Participating in our Biorbyt product reviews program enables you to support fellow scientists by sharing your firsthand experience with our products.
Login to Submit a Review










