You have no items in your shopping cart.
hnRNP L rabbit pAb Antibody
Description
Images & Validation
−| Tested Applications | ELISA, IF, IHC, WB |
|---|---|
| Dilution Range | Western Blot: 1/500 - 1/2000. Immunohistochemistry: 1/100 - 1/300. Immunofluorescence: 1/200 - 1/1000. ELISA: 1/20000. Not yet tested in other applications. |
| Reactivity | Human, Mouse |
Key Properties
−| Clonality | Polyclonal |
|---|---|
| Isotype | IgG |
| Immunogen | The antiserum was produced against synthesized peptide derived from human hnRNP L. AA range:61-110 |
| Molecular Weight | 60 |
| Purification | The antibody was affinity-purified from rabbit antiserum by affinity-chromatography using epitope-specific immunogen. |
| Conjugation | Unconjugated |
Storage & Handling
−| Storage | Maintain refrigerated at 2-8°C for up to 2 weeks. For long term storage store at -20°C in small aliquots to prevent freeze-thaw cycles. |
|---|---|
| Buffer/Preservatives | PBS with 0.02% sodium azide and 50% glycerol pH 7.4. |
| Concentration | 1 mg/ml |
| Expiration Date | 12 months from date of receipt. |
| Disclaimer | For research use only |
Alternative Names
−Similar Products
−hnRNP LL rabbit pAb Antibody [orb765428]
ELISA, IF, IHC, WB
Human, Mouse, Rat
Polyclonal
Unconjugated
100 μl, 50 μlhnRNP L Rabbit pAb, PE-Cy5 conjugated [orb2845231]
IF
Bovine, Equine, Guinea pig, Human, Porcine, Rabbit, Rat
Mouse
Rabbit
Polyclonal
PE/Cy5
100 μlhnRNP L Rabbit pAb, PerCP-Cy7 conjugated [orb2845234]
IF
Bovine, Equine, Guinea pig, Human, Porcine, Rabbit, Rat
Mouse
Rabbit
Polyclonal
PerCP/Cy7
100 μlhnRNP L Rabbit pAb, Pacific Blue conjugated [orb2845235]
IF
Bovine, Equine, Guinea pig, Human, Porcine, Rabbit, Rat
Mouse
Rabbit
Polyclonal
Pacific Blue
100 μlhnRNP L Rabbit pAb, BF700 conjugated [orb2845236]
IF
Bovine, Equine, Guinea pig, Human, Porcine, Rabbit, Rat
Mouse
Rabbit
Polyclonal
BF700
100 μl

Quality Guarantee
Explore bioreagents carefree to elevate your research. All our products are rigorously tested for performance. If a product does not perform as described on its datasheet, our scientific support team will provide expert troubleshooting, a prompt replacement, or a refund. For full details, please see our Terms & Conditions and Buying Guide. Contact us at [email protected].

Western Blot analysis of various cells using hnRNP L Polyclonal Antibody cells nucleus extracted by Minute TM Cytoplasmic and Nuclear Fractionation kit.

Western Blot analysis of HuvEc cells using hnRNP L Polyclonal Antibody cells nucleus extracted by Minute TM Cytoplasmic and Nuclear Fractionation kit.

Immunofluorescence analysis of HeLa cells, using hnRNP L Antibody. The picture on the right is blocked with the synthesized peptide.

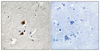
Immunohistochemistry analysis of paraffin-embedded human colon carcinoma tissue, using hnRNP L Antibody. The picture on the right is blocked with the synthesized peptide.
Documents Download
Request a Document
Protocol Information
hnRNP L rabbit pAb Antibody (orb765427)
Participating in our Biorbyt product reviews program enables you to support fellow scientists by sharing your firsthand experience with our products.
Login to Submit a Review


