You have no items in your shopping cart.
Description
Research Area
Images & Validation
−| Tested Applications | ICC, IF, IHC, WB |
|---|---|
| Dilution Range | WB (1:1000), ICC/IF (1:100) |
| Reactivity | Canine, Human, Mouse, Rat |
| Application Notes |
Key Properties
−| Host | Rabbit |
|---|---|
| Clonality | Polyclonal |
| Immunogen | Human heme-oxygenase (HO-1) synthetic multiple antigenic peptide |
| Target | HO-1 |
| Molecular Weight | 32kDa |
| Purification | Protein A Purified |
| Conjugation | HRP |
Storage & Handling
−| Storage | Conjugated antibodies should be stored according to the product label |
|---|---|
| Buffer/Preservatives | 73.64mM Carbonate, 54.55mM Ethanolamine, 45.45mM Cyanoborohydride, 18.18mM Sodium Hydroxide, 0.23mM Citrate |
| Concentration | 1 mg/ml |
| Expiration Date | 12 months from date of receipt. |
| Disclaimer | For research use only |
Alternative Names
−Similar Products
−HO-1 Antibody (HRP) [orb147094]
ELISA, ICC, IF, IHC, IP, WB
Bovine, Canine, Guinea pig, Hamster, Human, Monkey, Mouse, Porcine, Rabbit, Rat
Mouse
Monoclonal
HRP
100 μgHeme Oxygenase 1 Rabbit Polyclonal Antibody (HRP) [orb469302]
IHC-Fr, IHC-P, WB
Bovine, Canine, Equine, Gallus, Guinea pig, Mouse, Porcine, Rabbit, Sheep
Human, Rat
Rabbit
Polyclonal
HRP
100 μlHO-1 Rabbit Polyclonal Antibody (HRP) [orb474923]
IHC-Fr, IHC-P
Rat
Human, Mouse
Rabbit
Polyclonal
HRP
100 μl

Quality Guarantee
Explore bioreagents carefree to elevate your research. All our products are rigorously tested for performance. If a product does not perform as described on its datasheet, our scientific support team will provide expert troubleshooting, a prompt replacement, or a refund. For full details, please see our Terms & Conditions and Buying Guide. Contact us at [email protected].

Immunocytochemistry/Immunofluorescence analysis using Rabbit Anti-HO-1 Polyclonal Antibody. Tissue: Heat Shocked Cervical cancer cell line (HeLa). Species: Human. Fixation: 2% Formaldehyde for 20 min at RT. Primary Antibody: Rabbit Anti-HO-1 Polyclonal Antibody at 1:100 for 12 hours at 4°C. Secondary Antibody: FITC Goat Anti-Rabbit (green) at 1:200 for 2 hours at RT. Counterstain: DAPI (blue) nuclear stain at 1:40000 for 2 hours at RT. Localization: Endoplasmic reticulum membrane. Cytoplasm. Magnification: 100x. Heat Shocked at 42°C for 1h.

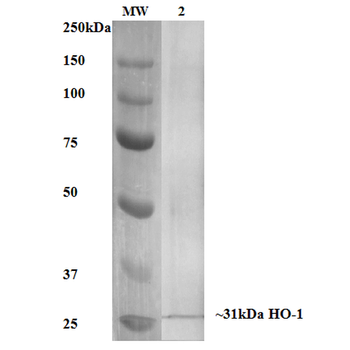
Western blot analysis of Human Cell line lysates showing detection of HO-1 protein using Rabbit Anti-HO-1 Polyclonal Antibody. Load: 15 μgprotein. Block: 1.5% BSA. Primary Antibody: Rabbit Anti-HO-1 Polyclonal Antibody at 1:1000 for 2 hours at RT. Secondary Antibody: Donkey Anti-Rabbit IgG: HRP for 1 hour at RT.

Immunocytochemistry/Immunofluorescence analysis using Rabbit Anti-HO-1 Polyclonal Antibody. Tissue: Heat Shocked Cervical cancer cell line (HeLa). Species: Human. Fixation: 2% Formaldehyde for 20 min at RT. Primary Antibody: Rabbit Anti-HO-1 Polyclonal Antibody at 1:100 for 12 hours at 4°C. Secondary Antibody: APC Goat Anti-Rabbit (red) at 1:200 for 2 hours at RT. Counterstain: DAPI (blue) nuclear stain at 1:40000 for 2 hours at RT. Localization: Endoplasmic reticulum membrane. Cytoplasm. Magnification: 20x. (A) DAPI (blue) nuclear stain. (B) Anti-HO-1 Antibody. (C) Composite. Heat Shocked at 42°C for 1h.

Immunocytochemistry/Immunofluorescence analysis using Rabbit Anti-HO-1 Polyclonal Antibody. Tissue: Cervical cancer cell line (HeLa). Species: Human. Fixation: 2% Formaldehyde for 20 min at RT. Primary Antibody: Rabbit Anti-HO-1 Polyclonal Antibody at 1:120 for 12 hours at 4°C. Secondary Antibody: FITC Goat Anti-Rabbit (green) at 1:200 for 2 hours at RT. Counterstain: DAPI (blue) nuclear stain at 1:40000 for 2 hours at RT. Localization: Endoplasmic reticulum membrane. Cytoplasm. Magnification: 100x. (A) DAPI (blue) nuclear stain. (B) Anti-HO-1 Antibody. (C) Composite.
Quick Database Links
UniProt Details
−NCBI Gene Details
−NCBI Reference Sequences
−| Protein | NP_002124.1 |
|---|
Documents Download
Request a Document
Protocol Information
HO-1 Antibody (HRP) (orb151362)
Participating in our Biorbyt product reviews program enables you to support fellow scientists by sharing your firsthand experience with our products.
Login to Submit a Review








