You have no items in your shopping cart.
HOXC6 Rabbit Polyclonal Antibody
SKU: orb576700
Description
Research Area
Epigenetics & Chromatin
Images & Validation
−Item 1 of 1
| Tested Applications | IHC, WB |
|---|---|
| Reactivity | Mouse |
| Predicted Reactivity | Bovine, Canine, Equine, Guinea pig, Human, Rabbit, Rat, Sheep |
Key Properties
−| Host | Rabbit |
|---|---|
| Clonality | Polyclonal |
| Immunogen | The immunogen is a synthetic peptide directed towards the C terminal region of human HOXC6 |
| Target | HOXC6 |
| Protein Sequence | Synthetic peptide located within the following region: KIWFQNRRMKWKKESNLTSTLSGGGGGATADSLGGKEEKREETEEEKQKE |
| Molecular Weight | 18kDa |
| Purification | Affinity Purified |
| Conjugation | Unconjugated |
Storage & Handling
−| Storage | Maintain refrigerated at 2-8°C for up to 2 weeks. For long term storage store at -20°C in small aliquots to prevent freeze-thaw cycles. |
|---|---|
| Buffer/Preservatives | Liquid. Purified antibody supplied in 1x PBS buffer with 0.09% (w/v) sodium azide and 2% sucrose. |
| Concentration | 0.5 mg/ml |
| Expiration Date | 12 months from date of receipt. |
| Disclaimer | For research use only |
Alternative Names
−CP25, HOX3, HOX3C, HHO.C8
Similar Products
−Hox-C6 rabbit pAb Antibody [orb768639]
ELISA, IF, IHC, WB
Human, Mouse
Polyclonal
Unconjugated
100 μl, 50 μlHoxc6 Rabbit Polyclonal Antibody [orb573757]
WB
Bovine, Canine, Equine, Guinea pig, Human, Mouse, Rabbit, Sheep
Rat
Rabbit
Polyclonal
Unconjugated
100 μl

Quality Guarantee
Explore bioreagents carefree to elevate your research. All our products are rigorously tested for performance. If a product does not perform as described on its datasheet, our scientific support team will provide expert troubleshooting, a prompt replacement, or a refund. For full details, please see our Terms & Conditions and Buying Guide. Contact us at [email protected].

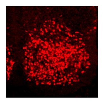
Sample Type: Mouse PFA-fixed spinal cord sections, Primary Dilution: 1:500.
Documents Download
Datasheet
Product Information
Request a Document
Protocol Information
WB
Western Blot (IB, immunoblot)
IHC
Immunohistochemistry
HOXC6 Rabbit Polyclonal Antibody (orb576700)
Based on 0 reviews
Participating in our Biorbyt product reviews program enables you to support fellow scientists by sharing your firsthand experience with our products.
Login to Submit a Review








